
- 2
- ,
- 3
- 8
- 1
To Quiz Yourself: Select OFF by clicking the button to hide the diagnosis & additional resources under the case.
Quick Browser: Select ON by clicking the button to hide the additional resources for faster case review.
CASE NUMBER
36
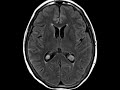
Diagnosis
Leptomeningeal Carcinomatosis
Note
There is lack of CSF suppression on FLAIR sequence imaging in scattered cerebral sulci, corresponding to leptomeningeal enhancement. Enhancement is additionally seen along the entire spinal cord and cauda equina. These findings are consistent with leptomeningeal metasases in this patient with a known history of metastatic lung cancer.
THIS IS CASE
36
OF
396
