
- 2
- ,
- 3
- 8
- 1
To Quiz Yourself: Select OFF by clicking the button to hide the diagnosis & additional resources under the case.
Quick Browser: Select ON by clicking the button to hide the additional resources for faster case review.
CASE NUMBER
37
Diagnosis
Mesial Temporal Sclerosis
Note
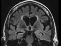
In this patient with chronic seizure disorder, we see volume less of the right hippocampus with distortion of the normal morphology, increased T2/FLAIR hyperintensity, and corresponding dilatation of the temporal horn of the right lateral ventricle, consistent with mesial temporal sclerosis.
THIS IS CASE
37
OF
396
