
- 2
- ,
- 3
- 8
- 1
To Quiz Yourself: Select OFF by clicking the button to hide the diagnosis & additional resources under the case.
Quick Browser: Select ON by clicking the button to hide the additional resources for faster case review.
CASE NUMBER
35
Diagnosis
HSV Encephalitis
Note
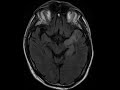
In this case we see FLAIR hyperintensity, patchy enhancement, and restricted diffusion in the left mesial temporal lobe in a patient who presented with acute onset fevers and altered mental status. These are classic findings for HSV encephalitis, which was confirmed with PCR.
THIS IS CASE
35
OF
396