
- 2
- ,
- 3
- 8
- 1
To Quiz Yourself: Select OFF by clicking the button to hide the diagnosis & additional resources under the case.
Quick Browser: Select ON by clicking the button to hide the additional resources for faster case review.
CASE NUMBER
34
Diagnosis
HIV Leukoencephalopathy
Note
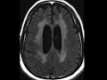
This patient had clinically known HIV encephalopathy and typical imaging findings are demonstrated in this case. There is global cerebral volume loss, as well as extensive T2/FLAIR hyperintensity involving the periventricular white matter and centrum semiovale symmetrically, without associated enhancement.
THIS IS CASE
34
OF
396