
- 2
- ,
- 3
- 8
- 1
To Quiz Yourself: Select OFF by clicking the button to hide the diagnosis & additional resources under the case.
Quick Browser: Select ON by clicking the button to hide the additional resources for faster case review.
CASE NUMBER
33
Diagnosis
Hepatic Encephalopathy
Note
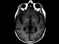
This case demonstrates an incidental finding in a patient with known chronic hepatic encephalopathy. We see increased intrinsic T1 signal within the basal ganglia, particulary the globi pallidi, as well as extending into the cerebral peduncles of the midbrain, likely reflecting abnormal maganese deposition secondary to portosystemic shunting.
THIS IS CASE
33
OF
396
