
- 2
- ,
- 3
- 8
- 1
To Quiz Yourself: Select OFF by clicking the button to hide the diagnosis & additional resources under the case.
Quick Browser: Select ON by clicking the button to hide the additional resources for faster case review.
CASE NUMBER
32
Diagnosis
Chondrosarcoma
Note
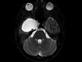
There is T2 hyperintense, heterogeneously enhancing mass centered in the right middle cranial fossa with infiltration of the right petrous ridge and encasement of the petrous and cavernous segments of the right internal carotid artery, compatible with a skull base chondrosarcoma. This was confirmed at pathology.
THIS IS CASE
32
OF
396
