
- 2
- ,
- 3
- 8
- 1
To Quiz Yourself: Select OFF by clicking the button to hide the diagnosis & additional resources under the case.
Quick Browser: Select ON by clicking the button to hide the additional resources for faster case review.
CASE NUMBER
31
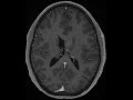
Diagnosis
Central Neurocytoma
Note
There is a mildly enhancing T2/FLAIR hyperintense mass in the left lateral ventricle abutting the septum pellicudum. This was a central neurocytoma at pathology, which more classically has a "bubbly" T2 appearance, but remains the leading imaging differential diagnostic consideration in this case.
THIS IS CASE
31
OF
396
