
- 2
- ,
- 3
- 8
- 1
To Quiz Yourself: Select OFF by clicking the button to hide the diagnosis & additional resources under the case.
Quick Browser: Select ON by clicking the button to hide the additional resources for faster case review.
CASE NUMBER
30
Diagnosis
Septic Emboli
Note
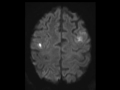
There are multiple foci of restricted diffusion that demonstrate ring enhancement, some of which additionally demonstrated a T2 hypointense rim, consistent with septic emboli in the known clinical setting of infectious endocarditis.
THIS IS CASE
30
OF
396
