
- 2
- ,
- 3
- 8
- 1
To Quiz Yourself: Select OFF by clicking the button to hide the diagnosis & additional resources under the case.
Quick Browser: Select ON by clicking the button to hide the additional resources for faster case review.
CASE NUMBER
360
Diagnosis
MALT Lymphoma
Note
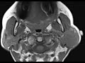
These images demonstrate asymmetric enlargement of the left parotid gland by a large infiltrative T1 isointense, T2 isointense, heterogeneously enhancing mass. The right parotid gland is somewhat heterogeneous in signal. In this patient with a history of Sjogren’s syndrome, the left parotid mass is most compatible with a parenchymal non-Hodgkins lymphoma such as MALT (mucosa associated lymphoid tissue) lymphoma which was confirmed on biopsy. Sjogren’s syndrome has a forty times increased incidence of MALT lymphoma. Treatment consists of radiation with possible chemotherapy.
THIS IS CASE
360
OF
396
