
- 2
- ,
- 3
- 8
- 1
To Quiz Yourself: Select OFF by clicking the button to hide the diagnosis & additional resources under the case.
Quick Browser: Select ON by clicking the button to hide the additional resources for faster case review.
CASE NUMBER
350
Diagnosis
Ependymoma
Note
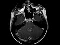
This case shows a multilobulated T1 isointense, T2 FLAIR hyperintense heterogeneously enhancing mass centered in the fourth ventricle which extends through the foramina of Magendie and Luschka as well as through the foramen magnum. The differential diagnosis for a posterior fossa mass in a young patient includes juvenile pilocytic astrocytoma, medulloblastoma, and ependymoma. The imaging features in this case of a “soft” heterogeneous fourth ventricular tumor which squeezes through the foramina are characteristic of an ependymoma which was subsequently proven on pathology. The B-subtype which presents in older children and adults has a better prognosis than the A-subtype which presents most commonly in infants. Incidentally noted is what appears to be a small pars intermedia cyst of the pituitary on the sagittal post contrast images.
THIS IS CASE
350
OF
396
