
- 2
- ,
- 3
- 8
- 1
To Quiz Yourself: Select OFF by clicking the button to hide the diagnosis & additional resources under the case.
Quick Browser: Select ON by clicking the button to hide the additional resources for faster case review.
CASE NUMBER
345
Diagnosis
Neurofibromatosis Type 1
Note
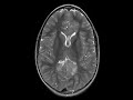
In this patient with a history of neurofibromatosis type I (NF1), there are numerous scattered foci of T2 FLAIR hyperintensity involving the subcortical white matter, corpus callosum, basal ganglia, and medial cerebellar hemispheres, many of which demonstrate mild enhancement. There is expansile T2 FLAIR hyperintensity involving the genu and splenium of the corpus callosum where there are areas of restricted diffusion. Findings are most compatible with multifocal gliomas and myelin vacuolization which are typically seen in preteen NF1 patients as was this patient.
THIS IS CASE
345
OF
396