
- 2
- ,
- 3
- 8
- 1
To Quiz Yourself: Select OFF by clicking the button to hide the diagnosis & additional resources under the case.
Quick Browser: Select ON by clicking the button to hide the additional resources for faster case review.
CASE NUMBER
339
Diagnosis
Intracranial Metastasis
Note
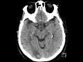
Non contrast images of the head show hypoattenuation in the subcortical white matter of the right occipital lobe. Contrast enhanced images show avid enhancement of a nodular mass adjacent to this region of hypoattenuation which could have easily been confused for cortex on the noncontrast images. There is no significant mass effect or midline shift. This mass represents a metastasis in a patient with lung cancer. Lung cancer is the most common source of intracranial metastasis. These commonly are located at the gray-white matter junction in the brain. About half of intracranial mets are solitary.
THIS IS CASE
339
OF
396
