
- 2
- ,
- 3
- 8
- 1
To Quiz Yourself: Select OFF by clicking the button to hide the diagnosis & additional resources under the case.
Quick Browser: Select ON by clicking the button to hide the additional resources for faster case review.
CASE NUMBER
327
Diagnosis
Developmental Venous Anomaly
Note
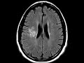
These images show a prominent enhancing vascular structure with surrounding T2 FLAIR hyperintensity in the posterior right frontal lobe with smaller vessels draining into it from the deep white matter and subsequently draining to cortical veins. This appearance represents the caput medusae or head of medusa sign that is characteristic of a developmental venous anomaly (DVA). These are the most common vascular malformations of the brain, are usually found incidentally, and can be associated with cavernomas. The frontoparietal location is the most common site. It is important to identify in preoperative cases as cautery may lead to venous infarction. Multiple DVAs can be seen with Blue Rubber Bleb Nevus Syndrome.The surrounding T2 FLAIR abnormality seen in this case may represent gliosis or edema related to chronic venous insufficiency in this region.
THIS IS CASE
327
OF
396
