
- 2
- ,
- 3
- 8
- 1
To Quiz Yourself: Select OFF by clicking the button to hide the diagnosis & additional resources under the case.
Quick Browser: Select ON by clicking the button to hide the additional resources for faster case review.
CASE NUMBER
217
Diagnosis
Vestibular Schwannoma, left
Note
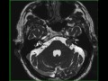
38-year-old male with left sided hearing loss. There is a T1-isointense, T2/FLAIR mildly hyperintense mass centered within the left internal auditory canal, spilling into the left cerebellopontine angle. There is a small cystic component of the lesion at the left CPA. There is mild diffusion restriction and avid enhancement. The findings are compatible with a left-sided vestibular schwannoma. Vestibular schwannoma is a benign tumor arising from Schwann cells that wrap the vestibulocochlear nerve. Differential diagnosis includes meningioma, epidermoid, and metastasis. The presence of bilateral vestibular schwannoma should raise suspicion for neurofibromatosis type 2.
THIS IS CASE
217
OF
396
