
- 2
 - ,
 - 3
 - 8
 - 1
 
To Quiz Yourself: Select OFF by clicking the button to hide the diagnosis & additional resources under the case.
Quick Browser: Select ON by clicking the button to hide the additional resources for faster case review.
CASE NUMBER
  214
  
  
	
    Diagnosis
  
Benign Mixed Tumor, Parotid (Pleomorphic Adenoma)
    Note
  
  
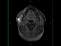
    54-year-old male with right-sided facial swelling. There is a circumscribed, T1-hypointense, T2/STIR-hyperintense, enhancing reniform shaped mass arising in the superficial right parotid gland which restricts diffusion. The differential includes benign mixed parotid tumor (pleomorphic adenoma), parotid cystic carcinoma, mucoepidermoid carcinoma, Warthins tumor, metastatic nodes and non-Hodgkin lymphoma. This was a case of benign mixed parotid tumor. Worrisome clinical features concerning for malignant transformation include facile nerve paralysis, multifocal involvement, and rapid enlargement. Worrisome imaging features include: infiltrative margins, multicentricity, or regions hypointense T2 signal. Females are affected 2x as often as males. Treatment is with complete surgical resection including the tumor capsule and adequate margins.
  
  
	 THIS IS CASE
     214
       
	    OF
		396
   
       
     
   