
- 2
- ,
- 3
- 8
- 1
To Quiz Yourself: Select OFF by clicking the button to hide the diagnosis & additional resources under the case.
Quick Browser: Select ON by clicking the button to hide the additional resources for faster case review.
CASE NUMBER
208
Diagnosis
Neurofibromatosis Type 2
Note
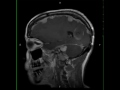
33-year-old female with a history of neurofibromatosis type 2 (NF-2). There are numerous extra-axial dural based enhancing masses compatible with meningioma involving both the supra- and infratentorial compartments. There are bilateral vestibular schwannoma. On the fluid sensitive images, there is an infiltrative T2-hyperintense lesion on the right dorsal aspect of the medulla extending towards the upper cervical spinal region compatible with an ependymoma at that sight. The last image also demonstrates a schwannoma arising from the spinal accessory nerve on the left with associated mass effect and deformity of the left lateral aspect of the cervicomedullary junction. NF-2 is an autosomal dominant phakomatosis. Neurofibromas are not a feature of the disease. Intracranial and spinal schwannomas, meningiomas, and ependymomas are the characteristic lesions. The disease prevalence is about 1:50,000. The gene mutation is on chromosome 22.
THIS IS CASE
208
OF
396
