
- 2
- ,
- 3
- 8
- 1
To Quiz Yourself: Select OFF by clicking the button to hide the diagnosis & additional resources under the case.
Quick Browser: Select ON by clicking the button to hide the additional resources for faster case review.
CASE NUMBER
  169
  
  
	
    Diagnosis
  
Basilar Impression
    Note
  
  
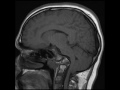
    53-year-old female with a history of chronic neck pain and headaches. There is upward displacement of the anterior arch of the atlas and dens into an otherwise normal appearing foramen magnum. There is effacement and crowding of the foramen magnum with prominent kinking of the cervicomedullary junction. In this patient without underlying osseous abnormality, this is a case of basilar impression. Basilar impression may be either congenital or acquired. There is upward displacement of vertebral elements into a normal foramen magnum. The upward migration results in stenosis of the foramen magnum with compression of the medulla. Syringomyelia may be seen.
  
  
	 THIS IS CASE
     169
       
	    OF
		396
   
       
     
   
 
       
       
       
       
       
       
       
	 
          
          
         