
- 2
- ,
- 3
- 0
- 9
To Quiz Yourself: Select OFF by clicking the button to hide the diagnosis & additional resources under the case.
Quick Browser: Select ON by clicking the button to hide the additional resources for faster case review.
CASE NUMBER
293
Diagnosis
Pseudolipoma of Glisson's Capsule
Note
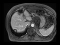
Multiple MR and CT images demonstrate a fatty mass arising along the capsule of the right hepatic lobe near the dome, compatible with a pseudolipoma of Glissons capsule
THIS IS CASE
293
OF
367
