
- 2
- ,
- 3
- 0
- 9
To Quiz Yourself: Select OFF by clicking the button to hide the diagnosis & additional resources under the case.
Quick Browser: Select ON by clicking the button to hide the additional resources for faster case review.
CASE NUMBER
294
Diagnosis
Ovarian Cancer
Note
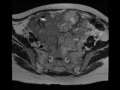
Multiple MR images demonstrate a large aggressive predominantly solid-appearing mass arising from the pelvis with significant cystic components. This aggressive appearing mass was found to represent a serous carcinoma.
THIS IS CASE
294
OF
367
