
- 2
- ,
- 3
- 0
- 9
To Quiz Yourself: Select OFF by clicking the button to hide the diagnosis & additional resources under the case.
Quick Browser: Select ON by clicking the button to hide the additional resources for faster case review.
CASE NUMBER
291
Diagnosis
Hemangioma
Note
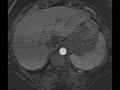
Multiple MR images demonstrate a T2 bright hepatic mass which demonstrates peripheral, central, globular enhancement, compatible with hemangioma
THIS IS CASE
291
OF
367
