
- 2
- ,
- 3
- 0
- 9
To Quiz Yourself: Select OFF by clicking the button to hide the diagnosis & additional resources under the case.
Quick Browser: Select ON by clicking the button to hide the additional resources for faster case review.
CASE NUMBER
288
Diagnosis
Duodenal GIST
Note
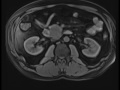
Multiple MR images demonstrate an exophytic, likely submucosal mass arising from the second/third portions of the duodenum, representing a duodenal GI stromal tumor
THIS IS CASE
288
OF
367
