
- 2
- ,
- 3
- 0
- 9
To Quiz Yourself: Select OFF by clicking the button to hide the diagnosis & additional resources under the case.
Quick Browser: Select ON by clicking the button to hide the additional resources for faster case review.
CASE NUMBER
286
Diagnosis
Retroperitoneal Liposarcoma
Note
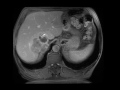
Multiple MR images demonstrate a large mass arising in the right aspect of the retroperitoneum, in roughly the vicinity of the IVC and right adrenal gland. This was found to be a retroperitoneal liposarcoma.
THIS IS CASE
286
OF
367
