
- 2
- ,
- 3
- 0
- 9
To Quiz Yourself: Select OFF by clicking the button to hide the diagnosis & additional resources under the case.
Quick Browser: Select ON by clicking the button to hide the additional resources for faster case review.
CASE NUMBER
289
Diagnosis
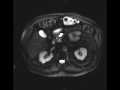
Side-branch Intraductal Papillary Mucinous Neoplasm (IPMN)
Note
Multiple MR images demonstrate a cystic lesion arising from the pancreatic neck, apparently communicating with the adjacent pancreatic duct, representing a sidebranch IPMN
THIS IS CASE
289
OF
367
