
- 2
- ,
- 3
- 0
- 9
To Quiz Yourself: Select OFF by clicking the button to hide the diagnosis & additional resources under the case.
Quick Browser: Select ON by clicking the button to hide the additional resources for faster case review.
CASE NUMBER
284
Diagnosis
Hepatocellular Carcinoma (Hepatoma) (HCC)
Note
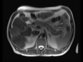
Multiple MR images demonstrate a T2 bright, hypervascular mass in the right hepatic lobe with evidence of delayed washout, compatible with hepatocellular carcinoma
THIS IS CASE
284
OF
367
