
- 2
- ,
- 3
- 0
- 9
To Quiz Yourself: Select OFF by clicking the button to hide the diagnosis & additional resources under the case.
Quick Browser: Select ON by clicking the button to hide the additional resources for faster case review.
CASE NUMBER
282
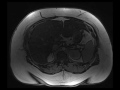
Diagnosis
Hepatic Steatosis
Note
Multiple MR images demonstrate diffuse signal loss on chemical shift imaging on the out of phase images throughout the liver, compatible with diffuse hepatic steatosis
THIS IS CASE
282
OF
367
