
- 2
- ,
- 3
- 0
- 9
To Quiz Yourself: Select OFF by clicking the button to hide the diagnosis & additional resources under the case.
Quick Browser: Select ON by clicking the button to hide the additional resources for faster case review.
CASE NUMBER
283
Diagnosis
Rectal Cancer
Note
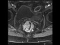
Multiple MR images demonstrate a mass arising along the right aspect of the rectum, with a large polyploid component, as well as extension involving the rectal wall from roughly the 9:00 to 12:00 positions. The mass does appear to demonstrate mesorectal involvement. This is a classic example of rectal cancer with mesorectal involvement.
THIS IS CASE
283
OF
367
