
- 2
- ,
- 3
- 0
- 9
To Quiz Yourself: Select OFF by clicking the button to hide the diagnosis & additional resources under the case.
Quick Browser: Select ON by clicking the button to hide the additional resources for faster case review.
CASE NUMBER
  33
  
  
	
    Diagnosis
  
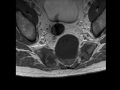
Sacral Chordoma
    Note
  
  
    Patient with pelvic pain.  MR images images demonstrate a T1 hypointense and T2 hyperintense mass arising from the sacrum.  Sacral chordomas often demonstrate a great deal of T2 hyperintensity.  Correlate CT images demonstrate a mass arising from the sacrum with bony destruction.
  
  
	 THIS IS CASE
     33
       
	    OF
		367
   
       
     
   
 
       
       
       
       
       
       
       
	 
          
          
         