
- 2
- ,
- 3
- 0
- 9
To Quiz Yourself: Select OFF by clicking the button to hide the diagnosis & additional resources under the case.
Quick Browser: Select ON by clicking the button to hide the additional resources for faster case review.
CASE NUMBER
31
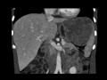
Diagnosis
Sclerosing angiomatoid nodular transformation (SANT) of the spleen
Note
Incidentally discovered splenic mass lesion. MR images demonstrate a large T2 hypointense mass arising from the spleen with restricted diffusion. CT images demonstrate a large, milyl heterogeneous mass arising from the spleen. This was found to represent sclerosing angiomatid nodular transformation (SANT) of the spleen after surgery.
THIS IS CASE
31
OF
367
