
- 3
- 1
- 6
To Quiz Yourself: Select OFF by clicking the button to hide the diagnosis & additional resources under the case.
Quick Browser: Select ON by clicking the button to hide the additional resources for faster case review.
CASE NUMBER
28
Diagnosis
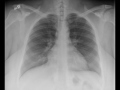
Normal Chest PA and Lateral
Note
Normal chest PA and lateral. The lungs are well inflated. The cardiothymic silhouette is normal. Pulmonary artery branches and airway are normal. Besides obesity, the x-ray is unremarkable.
THIS IS CASE
28
OF
129
