
- 1
- 1
- ,
- 6
- 7
- 5
To Quiz Yourself: Select OFF by clicking the button to hide the diagnosis & additional resources under the case.
Quick Browser: Select ON by clicking the button to hide the additional resources for faster case review.
CASE NUMBER
2,027
Diagnosis
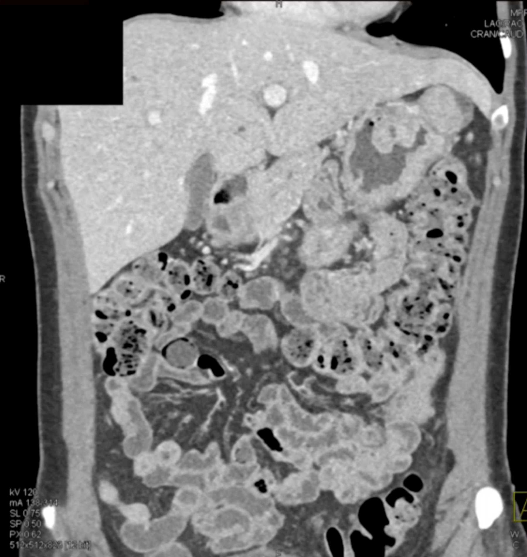
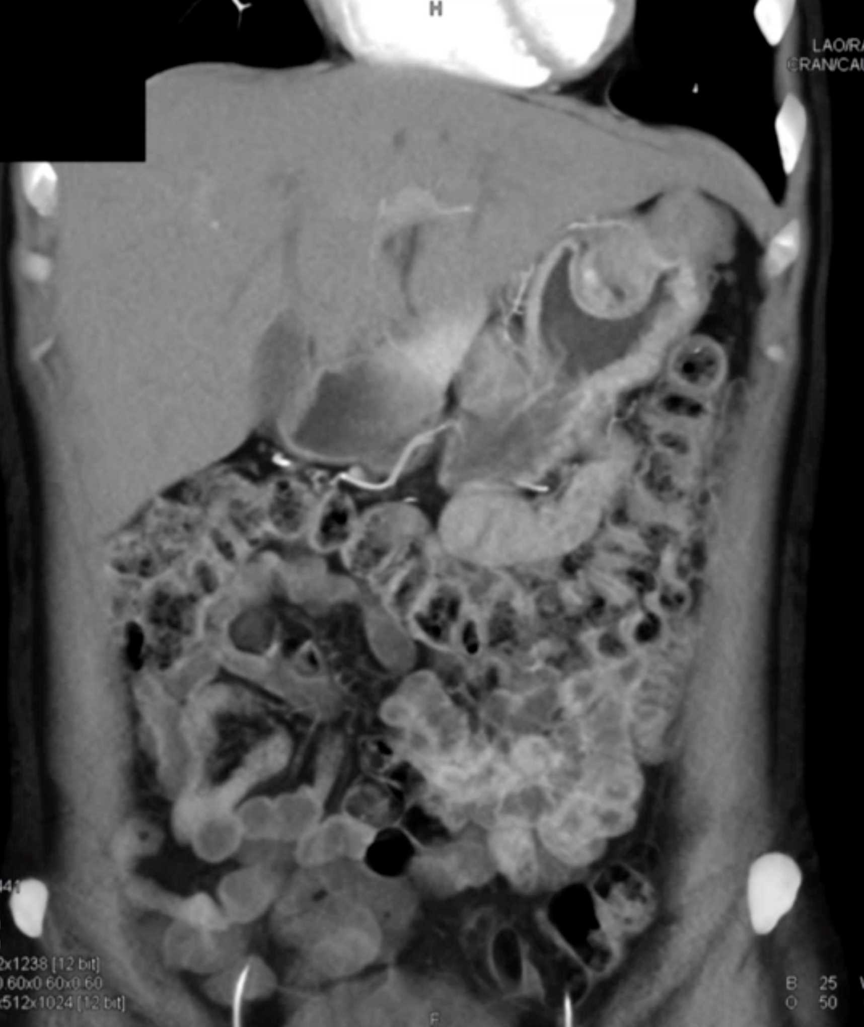
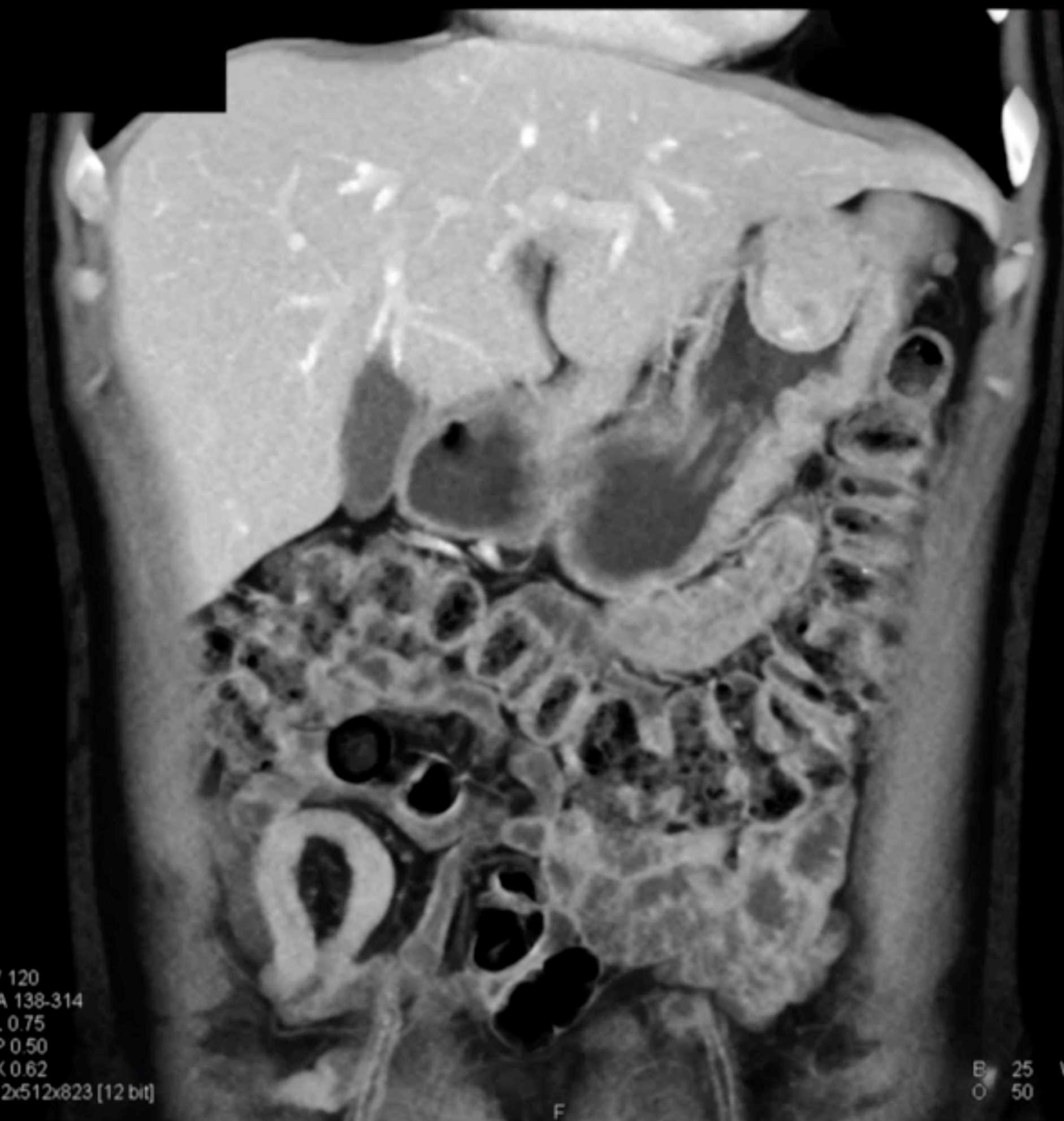
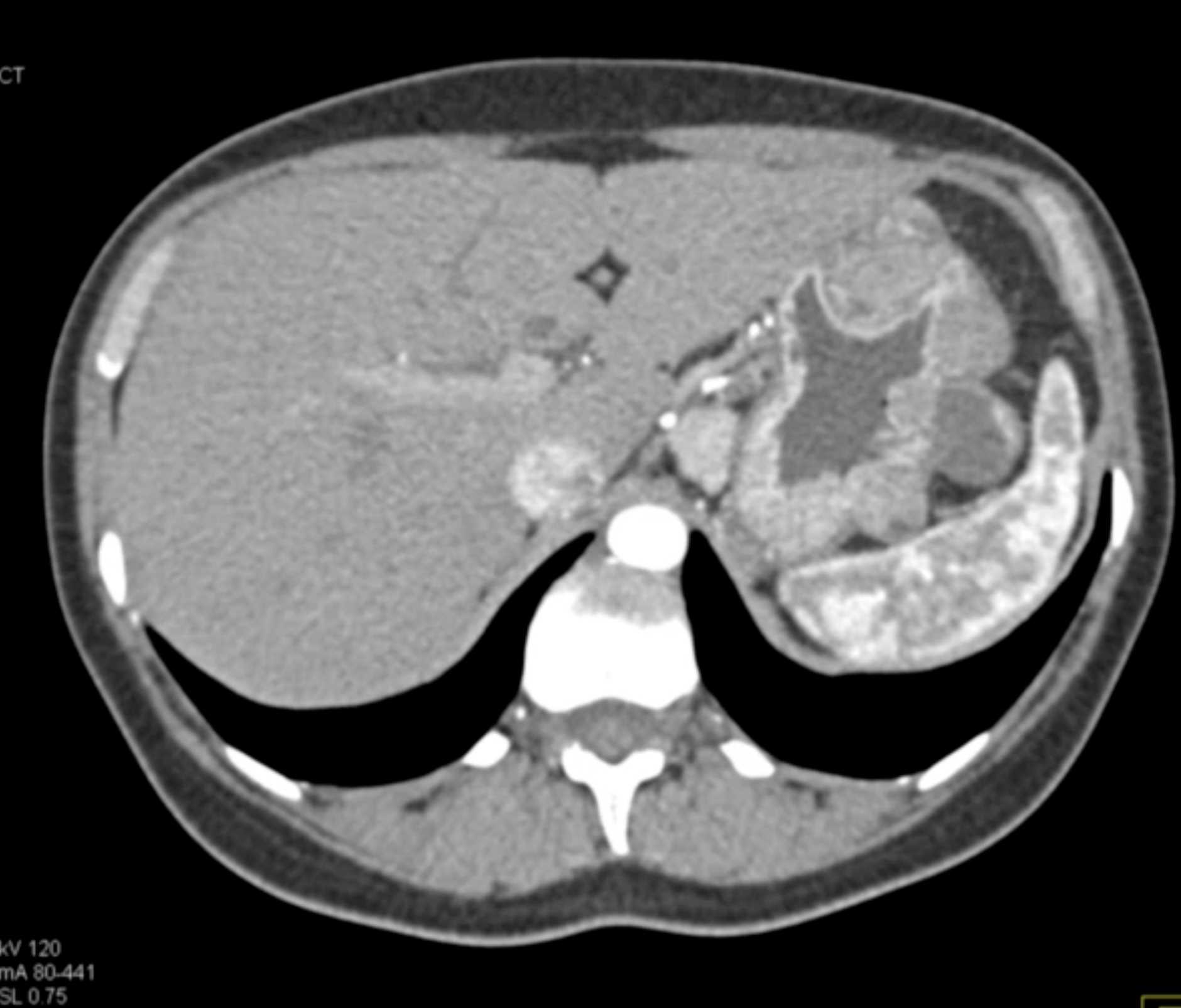
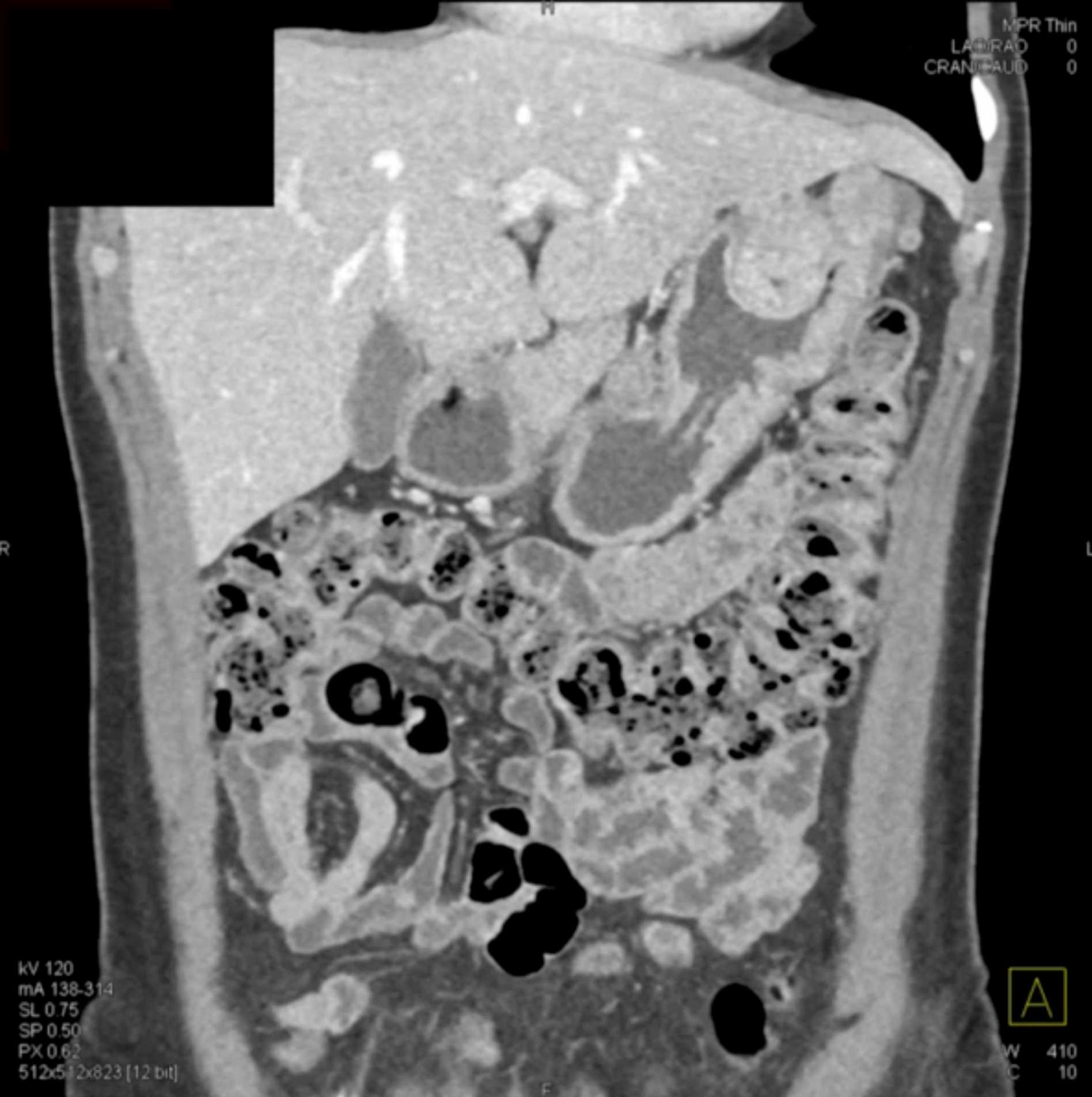
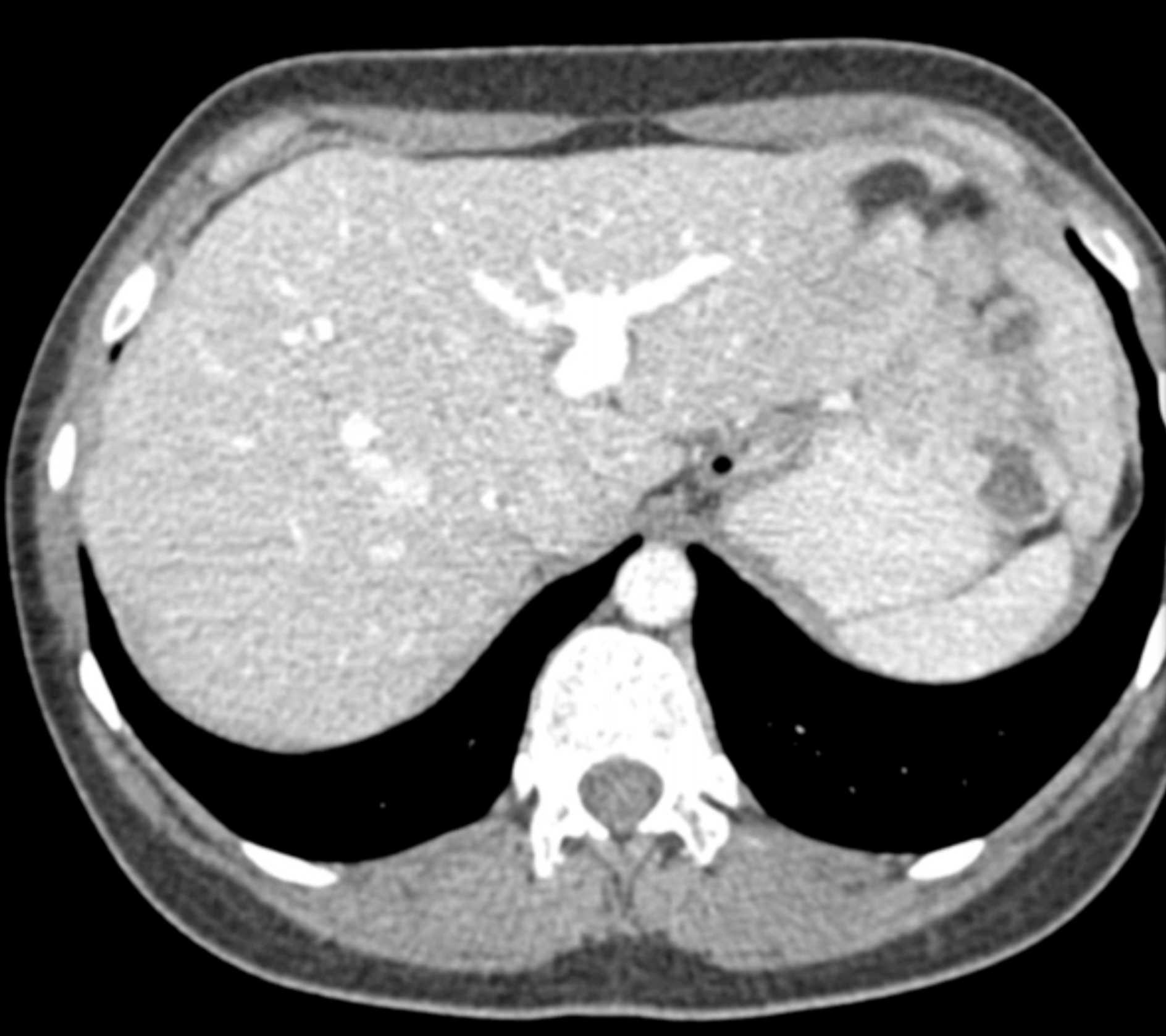
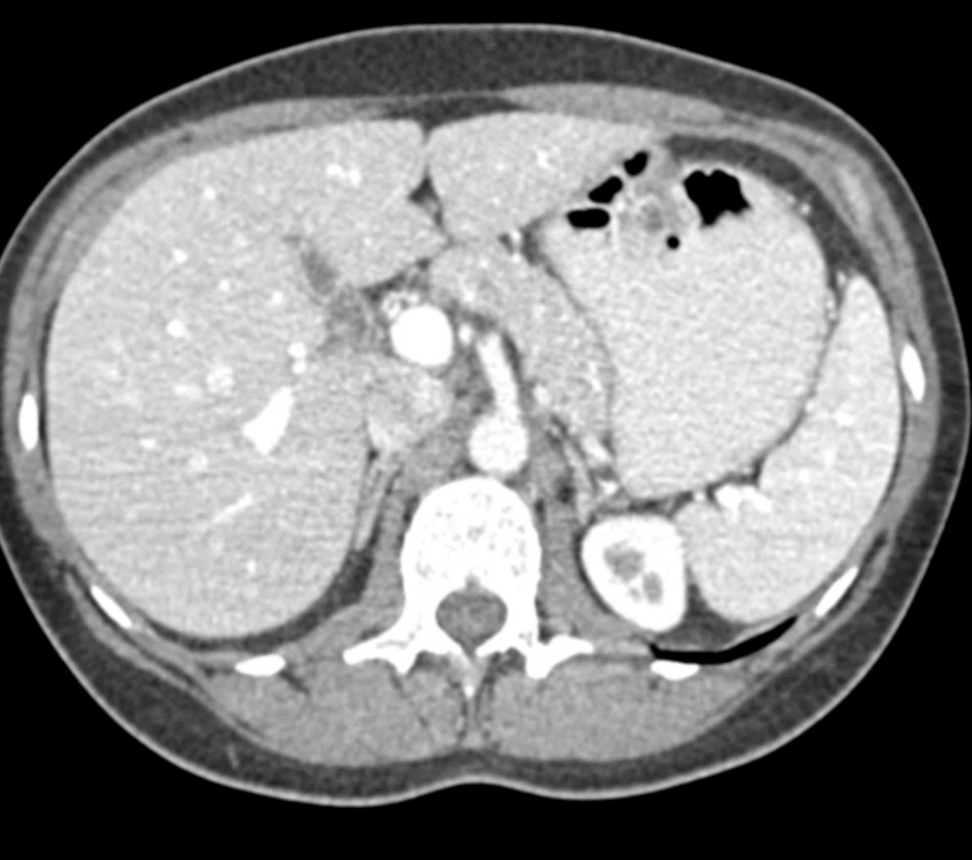
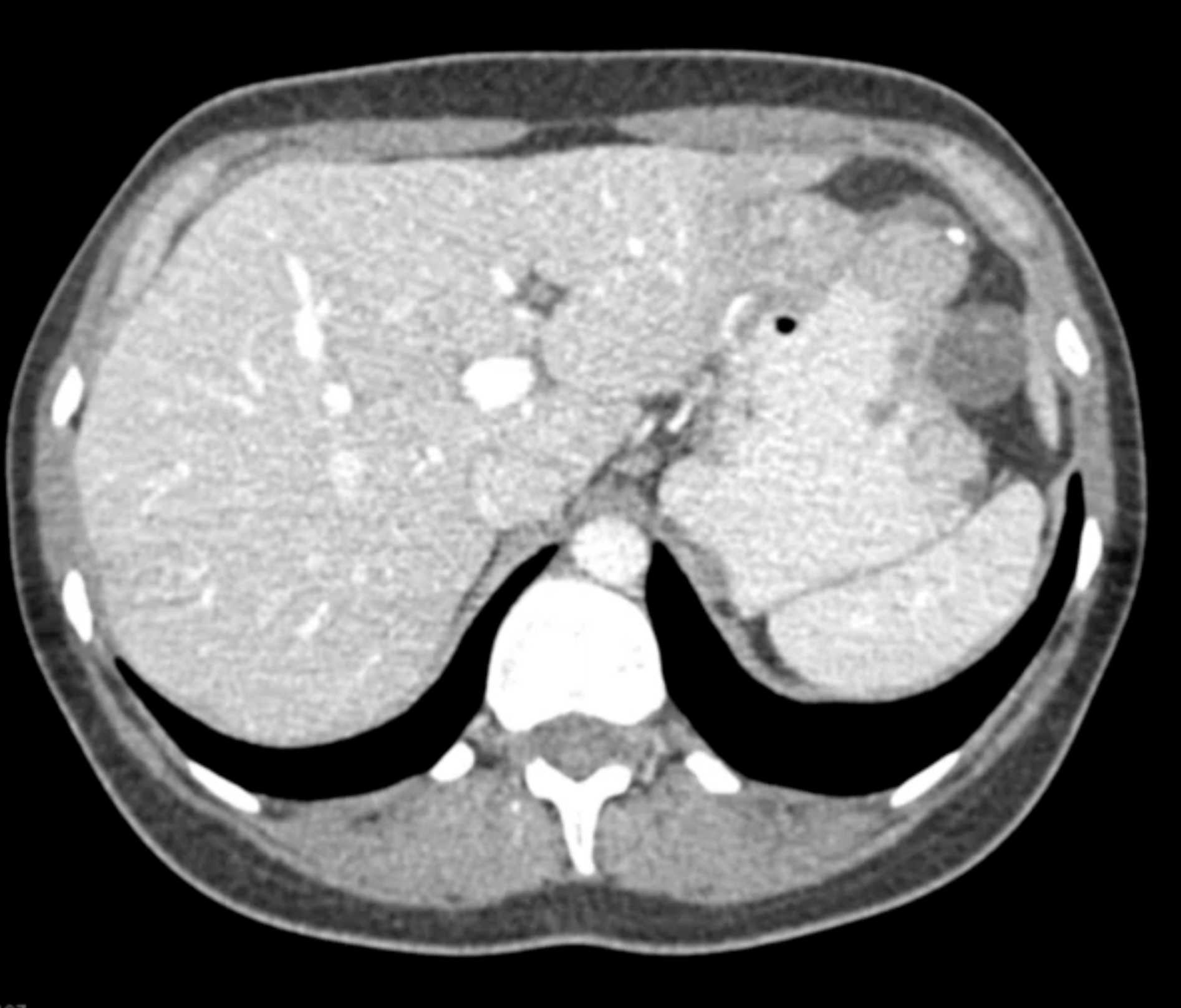
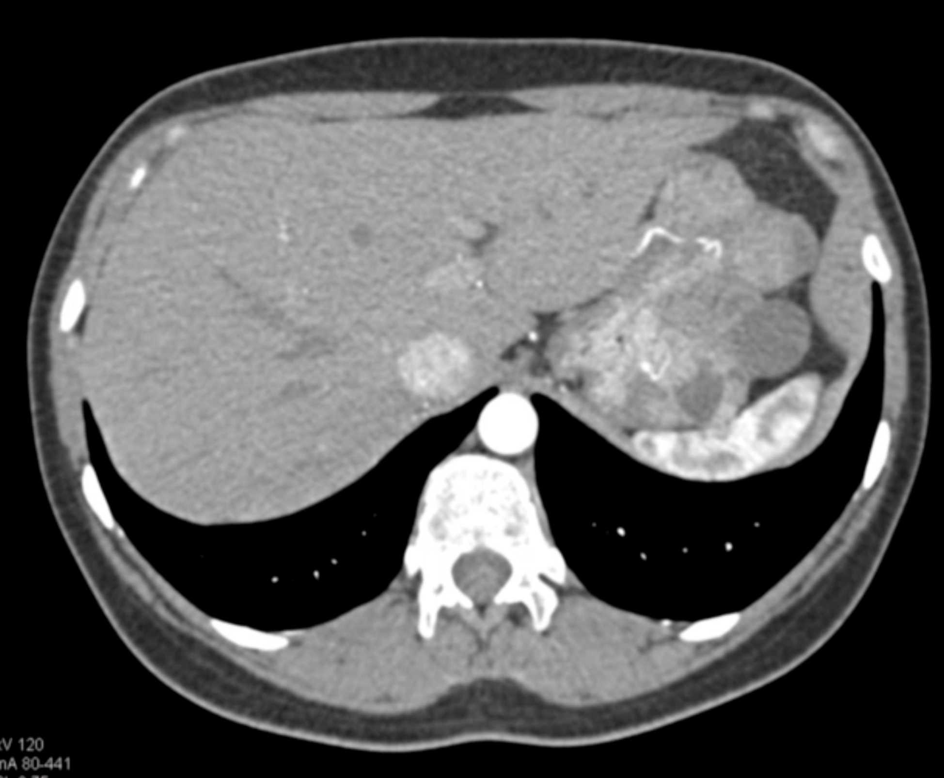
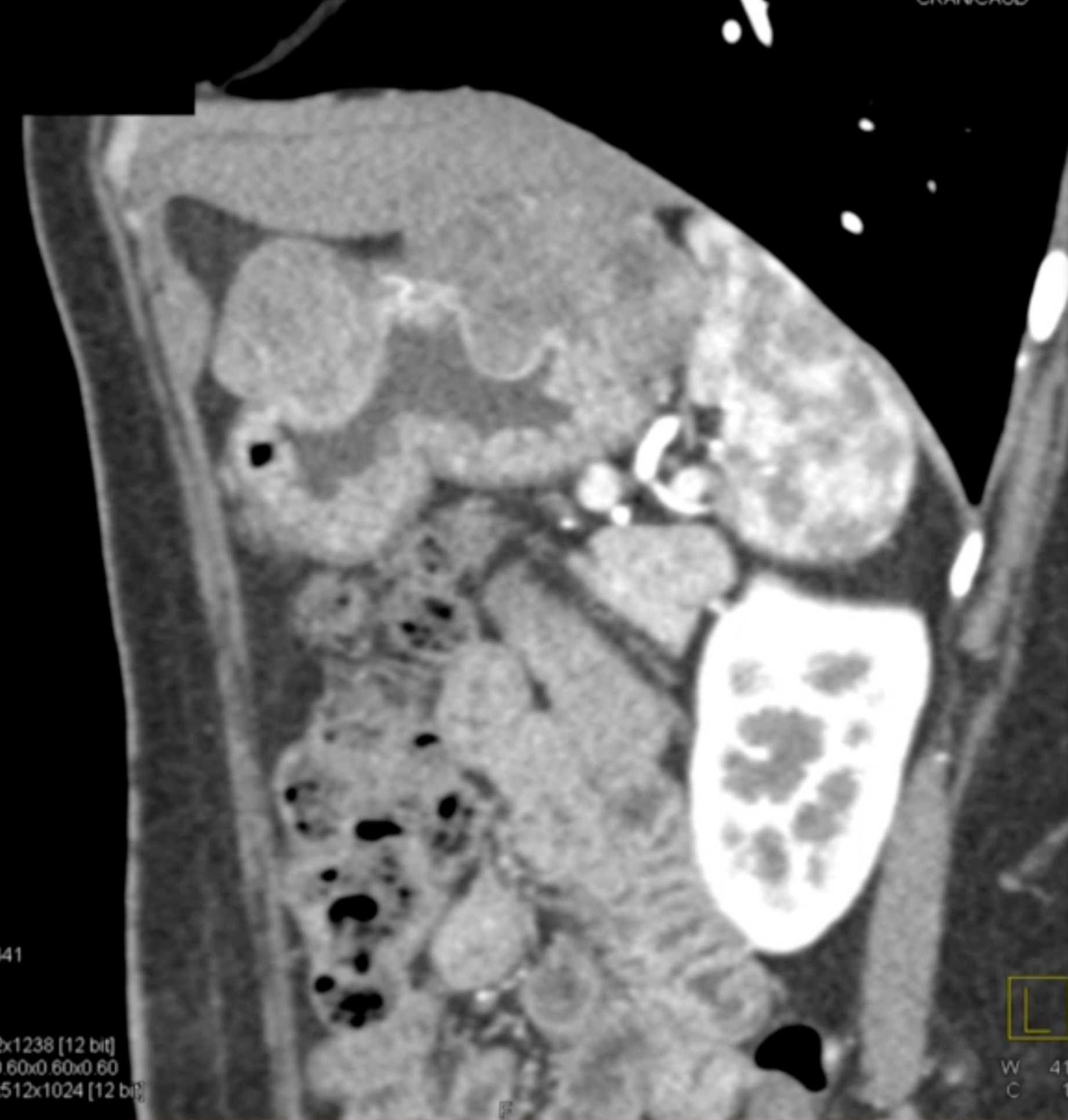
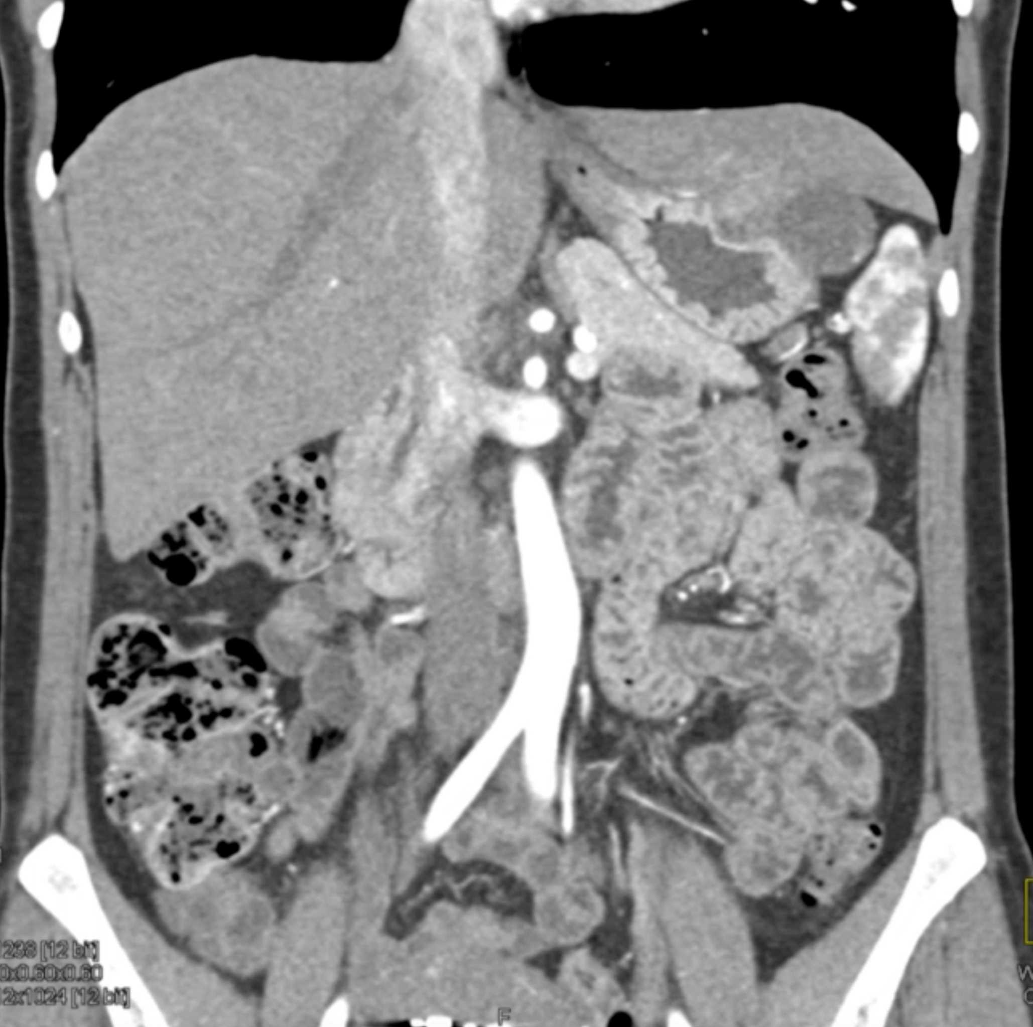
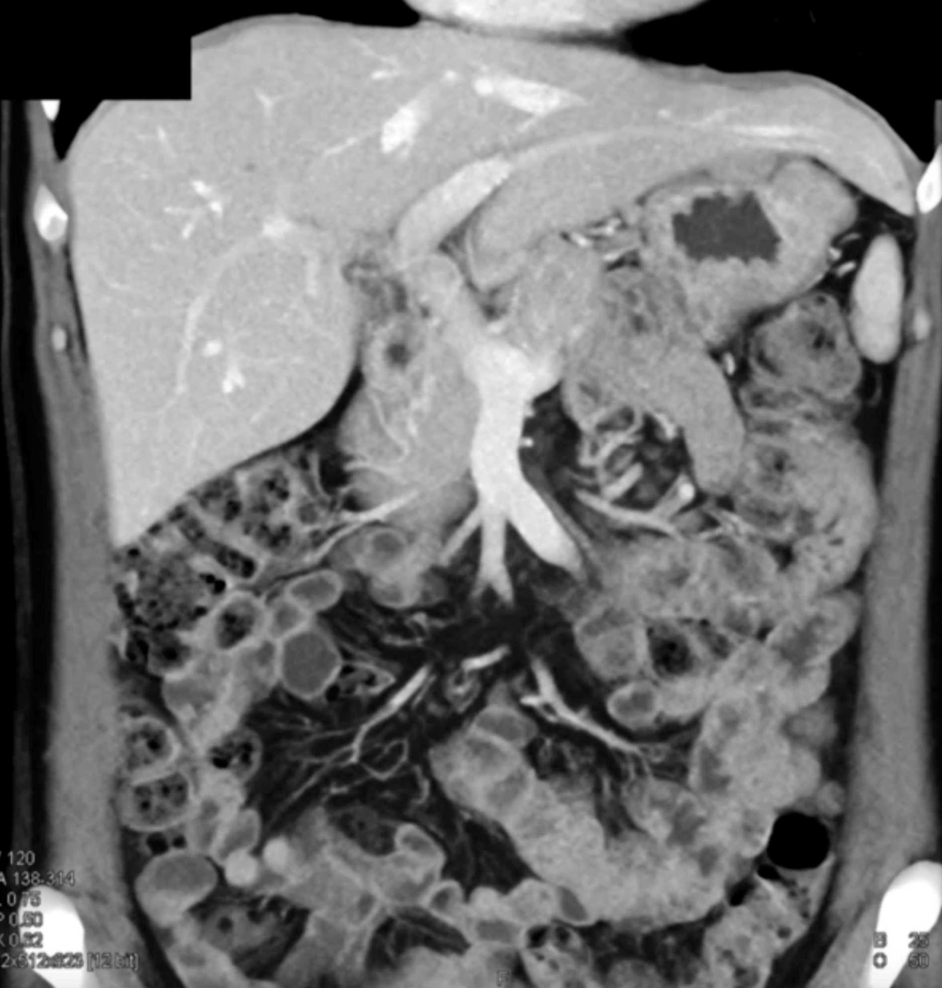
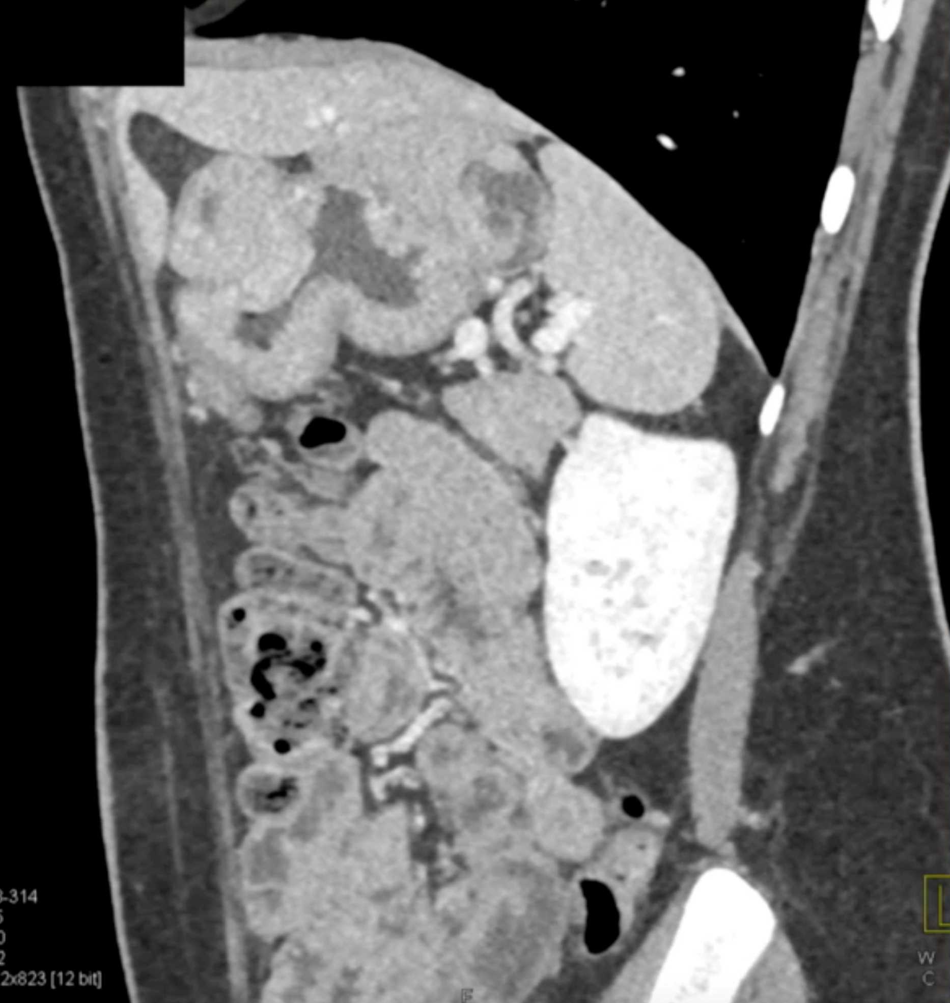
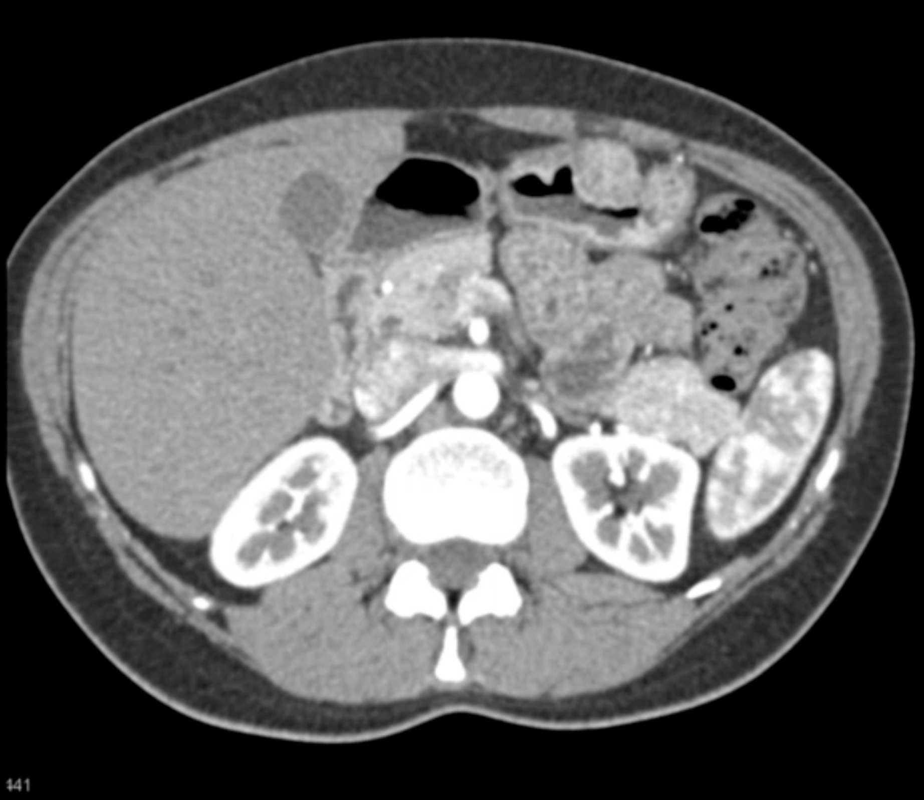
Multiple Gastric GIST Tumors with Spread to Nodes (Carney-Stratakis Syndrome)
THIS IS CASE
2,027
OF
2,031
