
- 1
- 1
- ,
- 6
- 7
- 5
To Quiz Yourself: Select OFF by clicking the button to hide the diagnosis & additional resources under the case.
Quick Browser: Select ON by clicking the button to hide the additional resources for faster case review.
CASE NUMBER
2,026
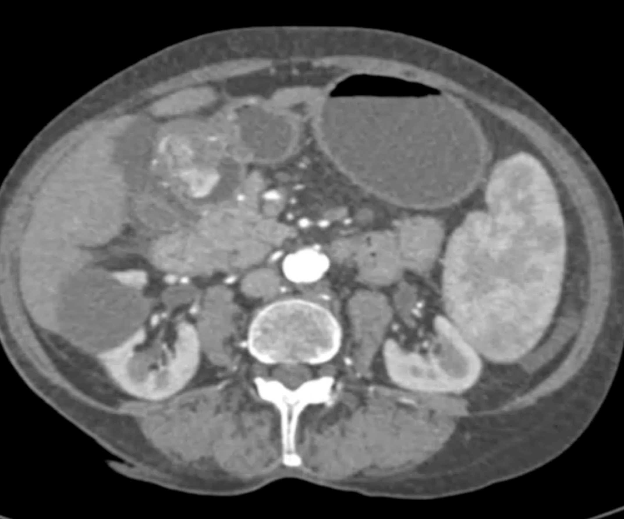
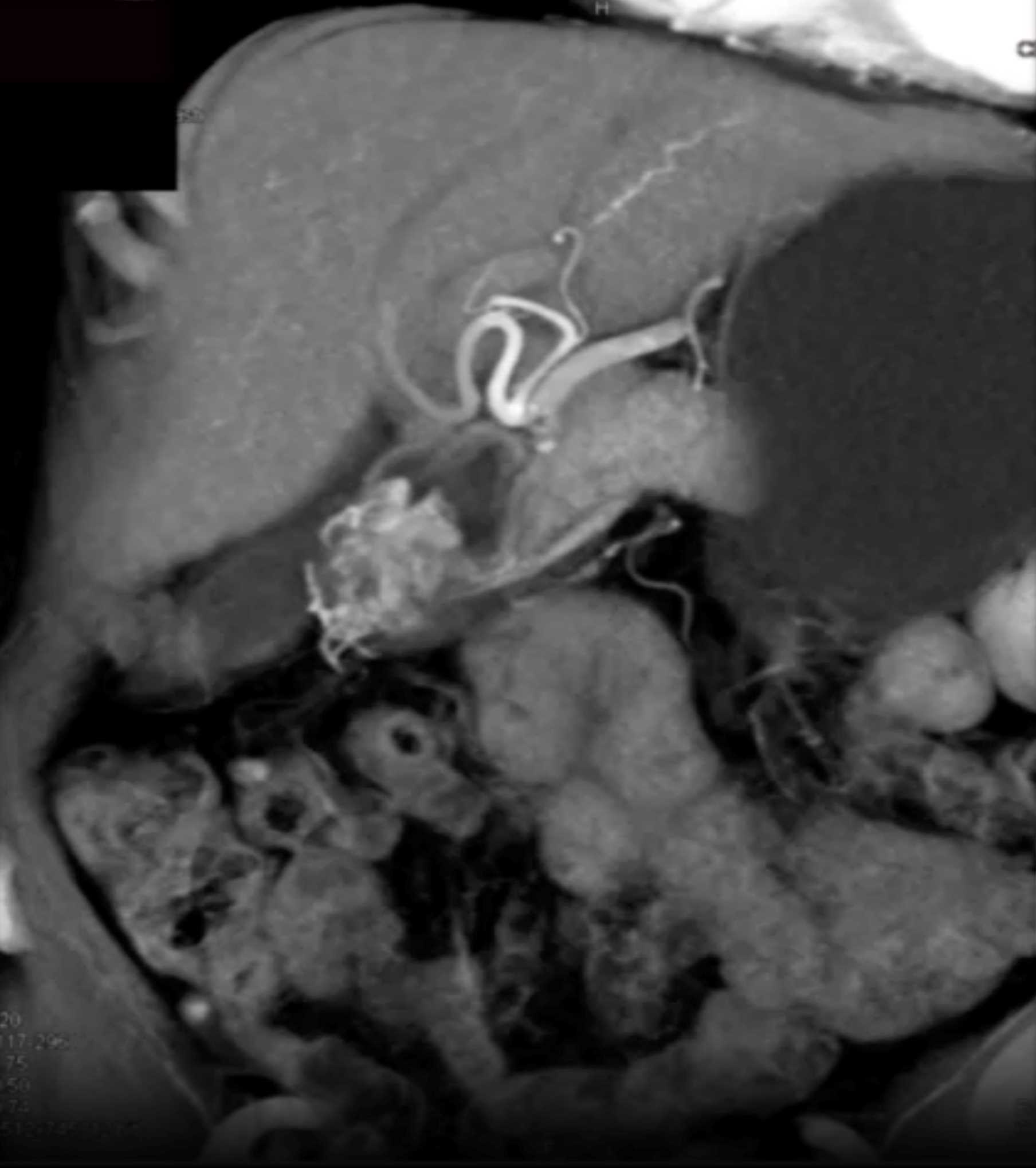
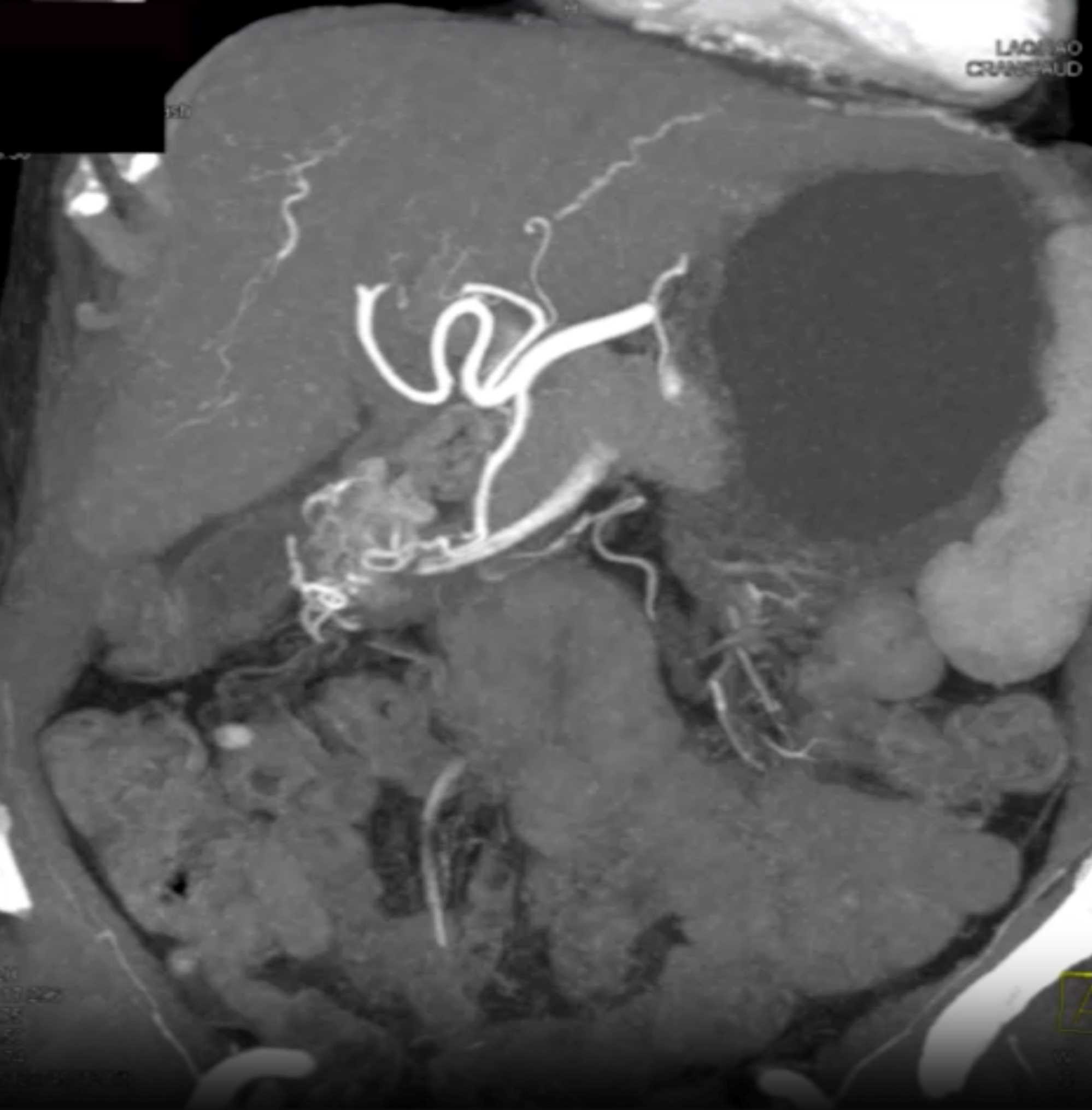
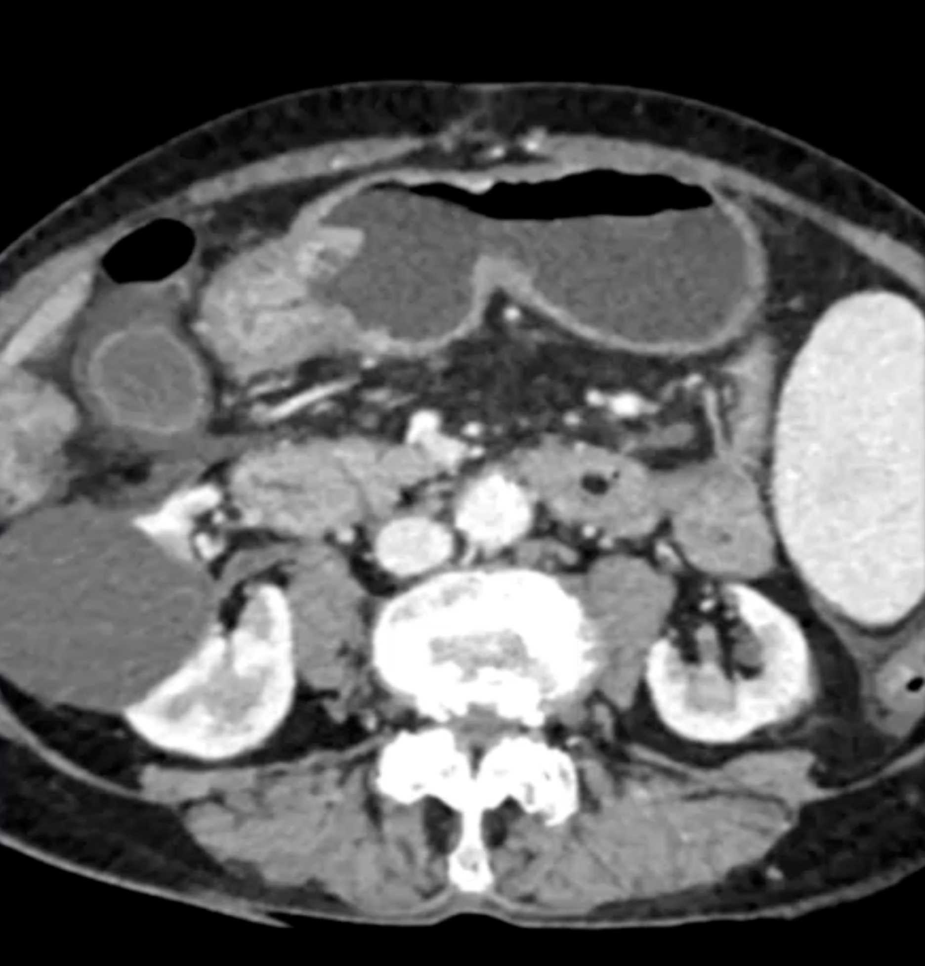
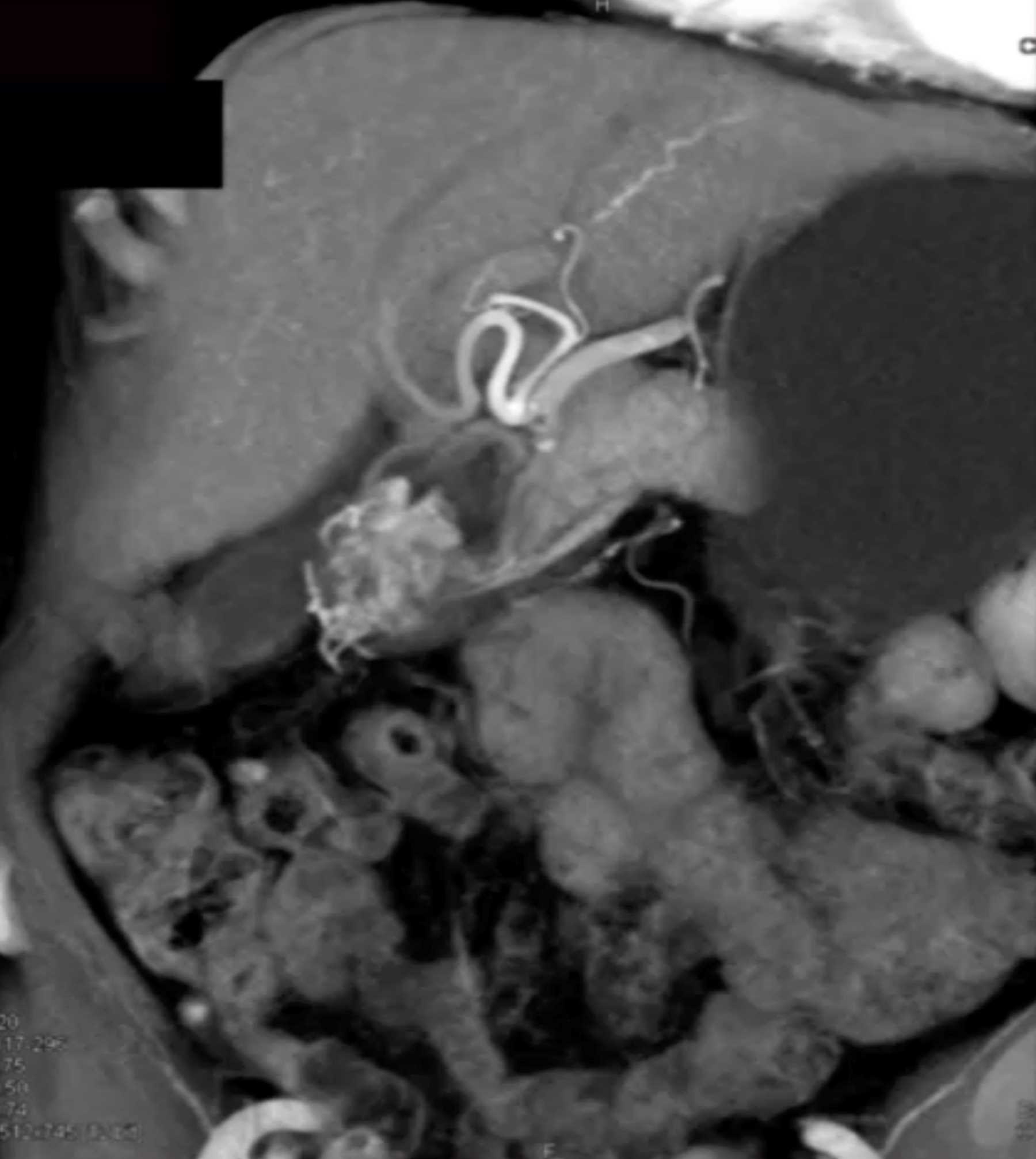
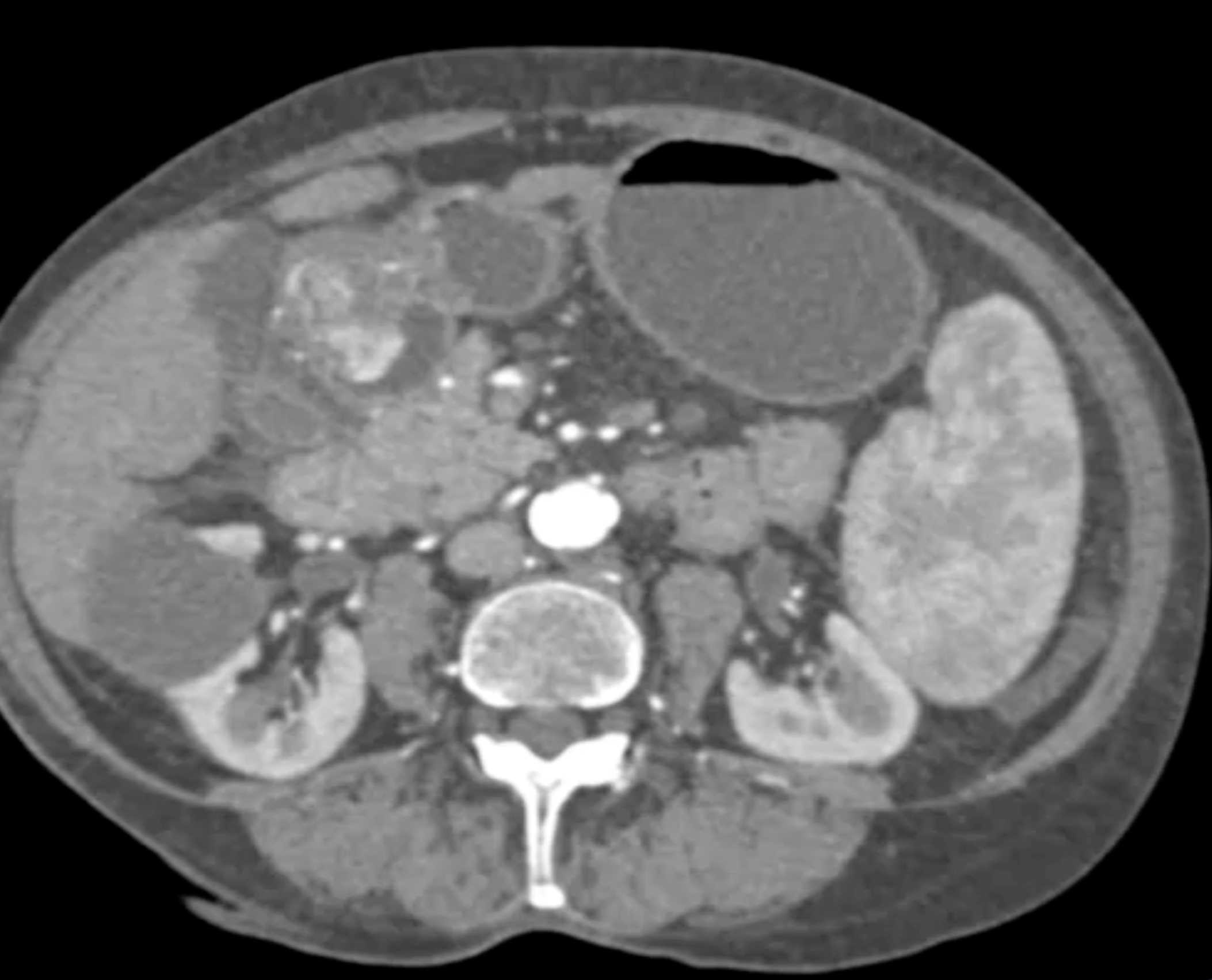
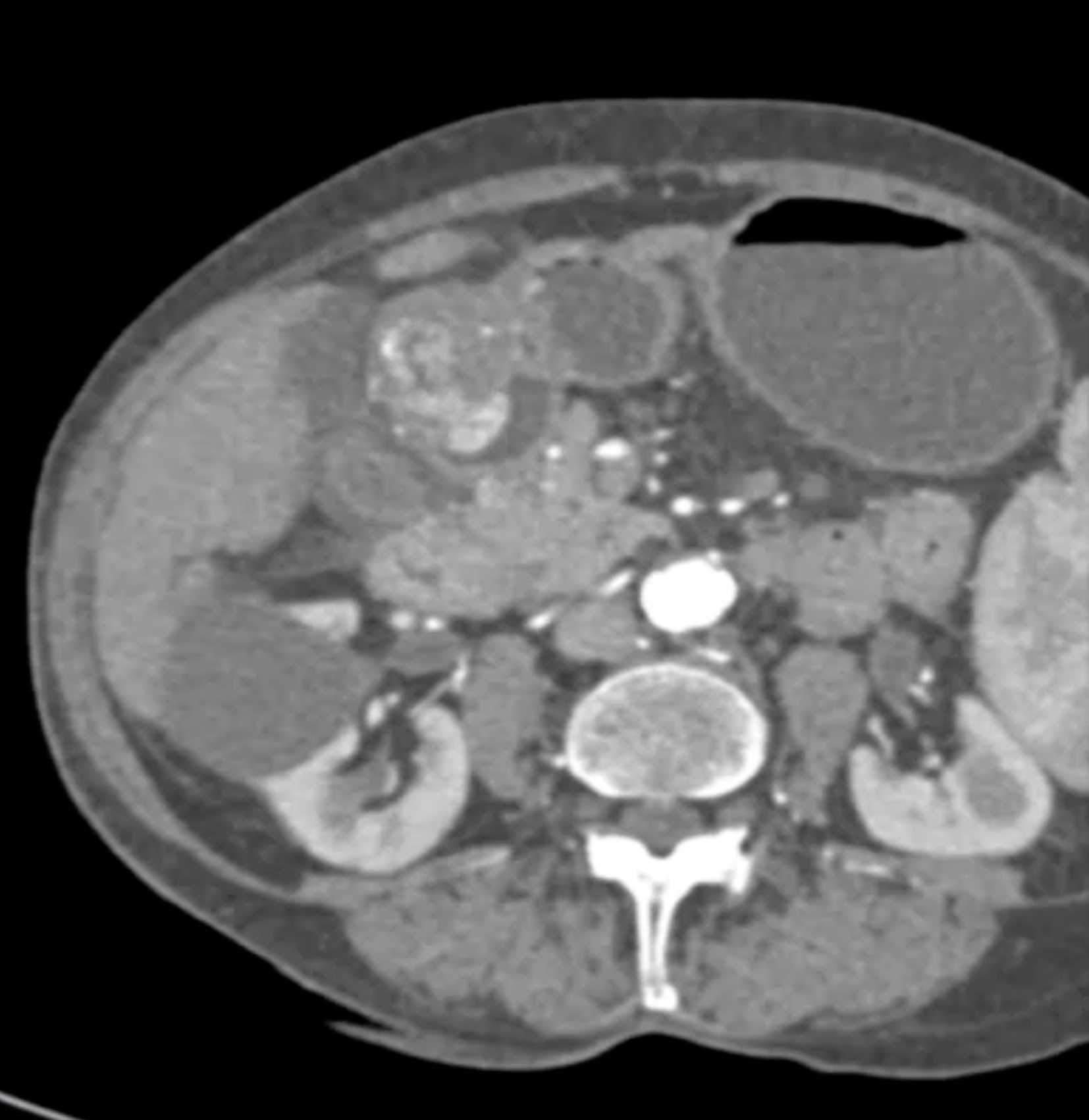
Diagnosis
Watermelon Stomach (Gastric Antral Vascular Ectasis)
THIS IS CASE
2,026
OF
2,031
