
- 2
- ,
- 3
- 8
- 1
To Quiz Yourself: Select OFF by clicking the button to hide the diagnosis & additional resources under the case.
Quick Browser: Select ON by clicking the button to hide the additional resources for faster case review.
CASE NUMBER
313
Diagnosis
Hemangioblastoma
Note
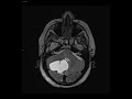
These images demonstrate a cystic mass in the right cerebellar hemisphere with an enhancing nodule along its posterior aspect. There is mild mass effect on the posterior right aspect of the 4th ventricle which remains patent. There is slight downward displacement of the cerebellar tonsils. In an adult, findings are classic for hemangioblastoma. These can be sporadic or associated with Von Hippel Lindau. This patient was an elderly female, but this these are typically found in young adults with a male predilection. Polycythemia may develop.
THIS IS CASE
313
OF
396
