
- 2
- ,
- 3
- 8
- 1
To Quiz Yourself: Select OFF by clicking the button to hide the diagnosis & additional resources under the case.
Quick Browser: Select ON by clicking the button to hide the additional resources for faster case review.
CASE NUMBER
309
Diagnosis
Glioblastoma
Note
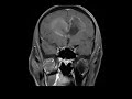
These images demonstrate a T1 isointense, T2 hyperintense peripherally enhancing mass with central necrosis which courses along the genu of the corpus callosum. On susceptibility we see decreased signal along the margins compatible with hemosiderin. These are imaging features of a high grade lesion which in this case turned out to be glioblastoma. This butterfly pattern is a characteristic pattern of spread for this lesion. Glioblastoma is the most common primary brain tumor in adults and has the worst prognosis. Peak incidence is between ages 65-75. Another tumor which has a propensity for crossing the corpus callosum is lymphoma which can have a variable appearance, but is usually hyperdense on CT and is isointense to hypointense on T2 weighted images.
THIS IS CASE
309
OF
396
