
- 2
- ,
- 3
- 8
- 1
To Quiz Yourself: Select OFF by clicking the button to hide the diagnosis & additional resources under the case.
Quick Browser: Select ON by clicking the button to hide the additional resources for faster case review.
CASE NUMBER
307
Diagnosis
Angiomyolipoma (AML)
Note
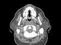
This young adult presented with fever and night sweats. On imaging we see mild symmetric enlargement of the cervical lymph nodes and diffuse enlargement of the lymphoid tissue comprising Waldeyer s ring which is composed of the nasopharyngeal adenoids, palatine tonsils, lingual tonsils. This patient had an abnormal peripheral blood smear and bone marrow biopsy with a diagnosis of acute myelocytic leukemia. Lymph nodes in leukemia have similar characteristics to lymphoma. They can be large, are usually non-necrotic, and relatively symmetric indicating a systemic process. Differential considerations for the enlargement of Waldeyer s ring include reactive tonsillar lymphoid hyperplasia as in HIV, squamous cell carcinoma, or extra-nodal non-Hodgkins lymphoma of Waldeyer s lymphatic ring which is the most common site.
THIS IS CASE
307
OF
396
