
- 2
 - ,
 - 3
 - 8
 - 1
 
To Quiz Yourself: Select OFF by clicking the button to hide the diagnosis & additional resources under the case.
Quick Browser: Select ON by clicking the button to hide the additional resources for faster case review.
CASE NUMBER
  210
  
  
	
    Diagnosis
  
Atypical Neurocytoma
    Note
  
  
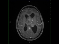
    33-year-old female who presented with chronic headaches and papilledema. There is a lobular, predominately solid, T1-hypointense, T2/FLAIR-hyperintense mass arising in the body of the left lateral ventricle. Several prominent vessels are noted, and the lesion restricts diffusion. It contacts the lateral margin of the body of the left lateral ventricle as well as the septum pellucidum. The mass extends towards the foramen of Monro. There is mild post contrast enhancement, and there is increased blood volume. The differential includes subependymoma, subependymal giant cell astrocytoma, central neurocytoma, choroid plexus papilloma, meningioma and metastasis. This was an atypical neurocytoma. Central neurocytomas represent an intraventricular neuroepithelial tumor with neuronal differentiation . They usually occur in young adults presenting with headaches, papilledema, seizures, and altered mental status. The lesions are benign.
  
  
	 THIS IS CASE
     210
       
	    OF
		396
   
       
     
   