
- 2
- ,
- 3
- 8
- 1
To Quiz Yourself: Select OFF by clicking the button to hide the diagnosis & additional resources under the case.
Quick Browser: Select ON by clicking the button to hide the additional resources for faster case review.
CASE NUMBER
144
Diagnosis
Low-grade Astrocytoma
Note
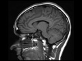
28-year-old male with new onset seizure activity on the right. There is an infiltrating nonenhancing mass centered within the left superior frontal gyral subcortical white matter with infiltration of the overlong cortical grey matter. The lesion is T2/FLAIR hyperintense, T1 hypointense, and does not restrict on the diffusion weighed images. There is swelling of the left superior frontal gyrus with effacement of the surrounding cortical sulci. This is a case of a biopsy proven infiltrating grade 2 astrocytoma. Seizure is the most common presenting feature of low-grade gliomas. 2/3rds of cases involve the supratentorial white matter, with the frontal lobes affected in 1/3 of cases.
THIS IS CASE
144
OF
396
