
- 2
- ,
- 3
- 0
- 9
To Quiz Yourself: Select OFF by clicking the button to hide the diagnosis & additional resources under the case.
Quick Browser: Select ON by clicking the button to hide the additional resources for faster case review.
CASE NUMBER
270
Diagnosis
Paraganglioma
Note
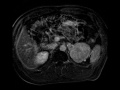
MR images demonstrate a T1 hypointense, T2 hyperintense, avidly enhancing mass in the left upper quadrant, found to be separate from the adjacent left adrenal gland. This was found to represent extra-adrenal paraganglioma
THIS IS CASE
270
OF
367
