
- 2
- ,
- 3
- 0
- 9
To Quiz Yourself: Select OFF by clicking the button to hide the diagnosis & additional resources under the case.
Quick Browser: Select ON by clicking the button to hide the additional resources for faster case review.
CASE NUMBER
182
Diagnosis
Dedifferentiated Retroperitoneal Liposarcoma
Note
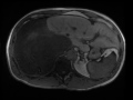
56-year-old male with chronic right-sided abdominal pain demonstrating a large, circumscribed, predominately cystic mass with T1 hypointense signal, T2 hyperintense signal, with nodular components that demonstrate heterogeneous, gradual enhancement. The lesion invades the right hepatic lobe of the liver. There is leftward shift of the caudate and left hepatic lobe as well as the hepatic IVC and portal venous system. At biopsy, the lesion was found to represent a dedifferentiated retroperitoneal liposarcoma. Retroperitoneal liposarcoma are a subtype of the liposarcoma tumor classification. Retroperitoneal liposarcoma represent one of the most common primary retroperitoneal neoplasms. Five histologic types including well-differentiated, myxoid, pleomorphic, round cell, and dedifferentiated.
THIS IS CASE
182
OF
367
