
- 2
- ,
- 3
- 0
- 9
To Quiz Yourself: Select OFF by clicking the button to hide the diagnosis & additional resources under the case.
Quick Browser: Select ON by clicking the button to hide the additional resources for faster case review.
CASE NUMBER
181
Diagnosis
Retroperitoneal neurofibroma
Note
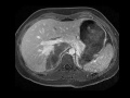
MRI images demonstrate an unusual mass in the right suprarenal fossa which is T1 and T2 hypointense with very little enhancement. This was found to be a retroperitoneal neurofibroma at surgical resection.
THIS IS CASE
181
OF
367
