
- 2
- ,
- 3
- 0
- 9
To Quiz Yourself: Select OFF by clicking the button to hide the diagnosis & additional resources under the case.
Quick Browser: Select ON by clicking the button to hide the additional resources for faster case review.
CASE NUMBER
172
Diagnosis
Thymoma
Note
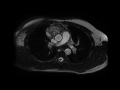
MRI images demonstrate a relatively well-circumscribed, poorly enhancing mass in the anterior mediastinum in a 45 year-old female, found to be a thymoma at resection.
THIS IS CASE
172
OF
367
