
- 2
- ,
- 3
- 0
- 9
To Quiz Yourself: Select OFF by clicking the button to hide the diagnosis & additional resources under the case.
Quick Browser: Select ON by clicking the button to hide the additional resources for faster case review.
CASE NUMBER
170
Diagnosis
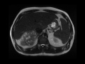
Renal cell carcinoma with renal vein and Inferior Vena Cava (IVC) invasion
Note
MRI images demonstrate an enhancing mass with central necrosis arising from the right kidney with direct invasion into the left renal vein and IVC, found to be clear cell renal cell carcinoma at surgical resection.
THIS IS CASE
170
OF
367
