
- 2
- ,
- 3
- 0
- 9
To Quiz Yourself: Select OFF by clicking the button to hide the diagnosis & additional resources under the case.
Quick Browser: Select ON by clicking the button to hide the additional resources for faster case review.
CASE NUMBER
144
Diagnosis
Ascending aortic pseudoaneurysm after graft repair
Note
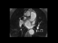
MR images demonstrate an outpouching from the ascending aorta representing a pseudoaneurysm after graft repair.
THIS IS CASE
144
OF
367
