
- 2
- ,
- 3
- 0
- 9
To Quiz Yourself: Select OFF by clicking the button to hide the diagnosis & additional resources under the case.
Quick Browser: Select ON by clicking the button to hide the additional resources for faster case review.
CASE NUMBER
142
Diagnosis
Ampullary carcinoma
Note
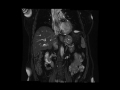
MR images demonstrate a double-duct sign with a subtle mass at the ampulla representing an ampullary carcinoma.
THIS IS CASE
142
OF
367
