
- 2
- ,
- 3
- 0
- 9
To Quiz Yourself: Select OFF by clicking the button to hide the diagnosis & additional resources under the case.
Quick Browser: Select ON by clicking the button to hide the additional resources for faster case review.
CASE NUMBER
41
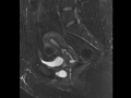
Diagnosis
Urethral Diverticulum
Note
MRI images demonstrate a "horseshoe" shaped T2 hyperintense, T1 hypintense, non-enhancing cystic structure wrapping around the urethra, consistent with a urethral diverticulum.
THIS IS CASE
41
OF
367
