
- 2
- ,
- 3
- 0
- 9
To Quiz Yourself: Select OFF by clicking the button to hide the diagnosis & additional resources under the case.
Quick Browser: Select ON by clicking the button to hide the additional resources for faster case review.
CASE NUMBER
40
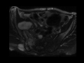
Diagnosis
Unilateral Sacroiliitis from Tuberculosis
Note
CT and MRI images demonstrate destruction of the right sacroiliac joint with edema along both ides of the joint and a contiguous fluid collection. This was discovered to represent tuberculosis of the joint in a patient with significant TB-related active lung disease (not shown).
THIS IS CASE
40
OF
367
