
- 2
- ,
- 3
- 0
- 9
To Quiz Yourself: Select OFF by clicking the button to hide the diagnosis & additional resources under the case.
Quick Browser: Select ON by clicking the button to hide the additional resources for faster case review.
CASE NUMBER
27
Diagnosis
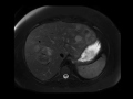
Hepatic adenomatosis
Note
Patient with history of oral contraceptive use. MR images demonstrate multiple enhancing lesions throughout the liver, lesions which were proven to represent multiple hepatic adenomas.
THIS IS CASE
27
OF
367
