
- 2
- ,
- 3
- 0
- 9
To Quiz Yourself: Select OFF by clicking the button to hide the diagnosis & additional resources under the case.
Quick Browser: Select ON by clicking the button to hide the additional resources for faster case review.
CASE NUMBER
20
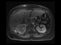
Diagnosis
Renal Cell Carcinoma (RCC) with vascular invasion
THIS IS CASE
20
OF
367