Diagnostic Case Quiz ❯ Quiz of the Month ❯ June 2025
Archives:
Instructions
- Login / Register to CTisus.com to save your answers and track your score and progress.
- Review your answers below.
- Click on thumbnail images to view a larger version of the image
- Select the best answer
- Submit your answers by selecting the "Submit" button at the end of the quiz.
Quiz Discussion
1) In this patient with suspected GI bleed the most likely diagnosis is?


hiatal hernia
esophagitis
esophageal cancer
achalasia
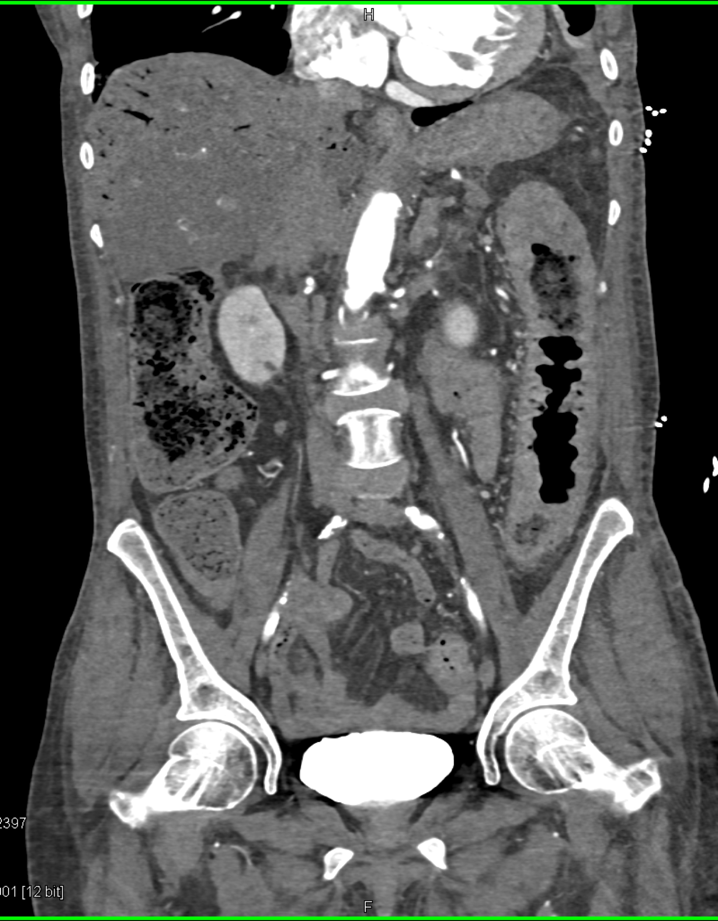
2) The most likely diagnosis in this patient with a drop in hematocrit is?


small bowel GIST tumor
carcinoid tumor
adenocarcinoma
lymphoma
3) In this patient with an acute abdomen and right lower quadrant pain the best dx is?


colon cancer
perforated sigmoid colon with abscess
Crohn’s disease
lymphoma
4) The best diagnosis in this patient post trauma is?


esophagitis
trauma with TE Fistulae (acute)
lung cancer
foreign body induced perforation
5) The most likely diagnosis in this patient with hematuria is?


bleeding from renal cell carcinoma
bleed from renal AML
renal bleed s/p biopsy
anticoagulant therapy
6) The most likely diagnosis in this patient is?


renal angiomyolipoma
renal artery aneurysm
AV shunting
renal AVM
7) In this patient with GI bleed and fever the most likely diagnosis is?


liver abscess
liver abscess and diverticulitis
liver tumor and bowel cancer
liver abscess and chicken bone in appendix
8) The most likely diagnosis in this patient with an acute abdomen is?


ischemic colitis descending colon
pseudomembranous colitis
Crohn’s disease
descending colon cancer
9) The most likely diagnosis for this incidental splenic lesion is?


splenic hamartoma
splenic hemangiomas
lymphoma
sarcoidosis