The Challenges in the Diagnosis of Transitional Cell Carcinoma of the Kidney: Optimizing Lesion Detection
The Challenges in the Diagnosis of Transitional Cell Carcinoma of the Kidney: Optimizing Lesion Detection M. Yasrab, MD; Felipe Lopez-Ramirez, MD; Satomi Kawamoto, MD; Linda C. Chu, MD; Elliot K. Fishman, MD Johns Hopkins Hospital |
Teaching Points
|
Background & Demographics
|
Workup & Prognostication
|
CTU Protocol & Optimization
|
![]() |
Single Bolus 100-120 mL of IV contrast at 4-5 mL/s → Arterial phase (30-35 sec) → Venous phase (60-70 sec) → Excretory phase (58 min)
50 mL of IV Contrast → Additional 80 mL of IV contrast at 5 min → Combined nephrographic and excretory phase images at 7 min
(Fojecki et al., 2019), (Ali et al., 2019), (Raman and Fishman, 2018) (Kawamoto et al., 2008) |
3D Postprocessing & Cinematic Rendering (CR)
3D CR demonstrating invasive high-grade bladder UC and synchronous low-grade UTUC in left upper calyces (case revisited in later slides) (Rowe et al., 2019), (Ali et al., 2019), (Raman et al., 2012) ![]() |
Optimization
|
UTUC Cases & CTU Features
|
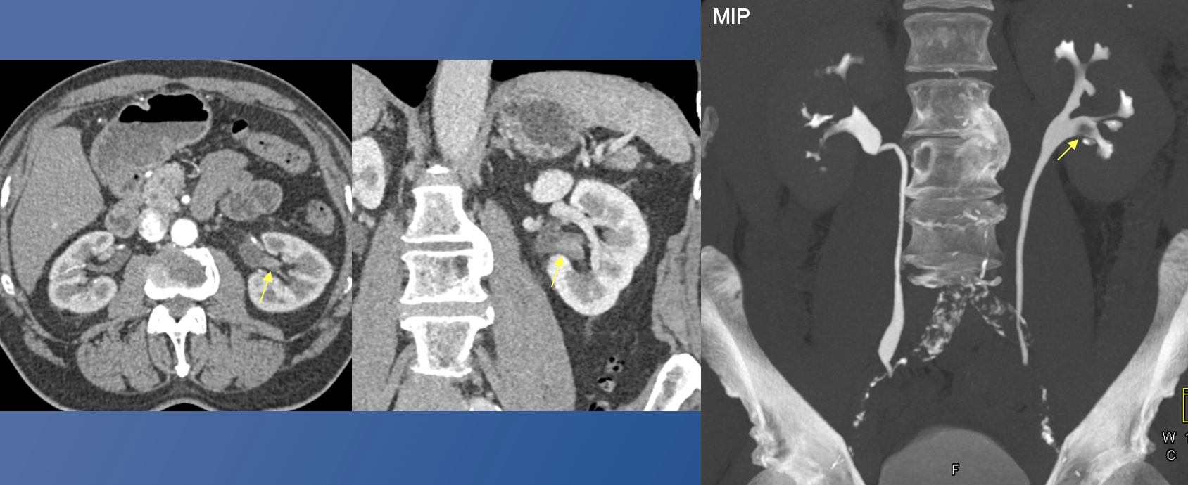
UTUC as urothelial thickening on CTU 1. Proximal ureter urothelial thickening extending into the renal pelvis ![]() 2. Distal ureter urothelial thickening ![]() 3. Proximal collecting system urothelial thickening ![]() |
UTUC as enhancing mass involving the calyces on CTU 4. Multifocal enhancing UTUCs in left renal collecting system: lower pole calyces (blue arrow), renal pelvis (yellow arrow) and proximal ureter (white arrow) Invasive, high-grade UTUC, pT1 ![]() |
5. Enhancing lesion within the inferior left renal collecting system + patchy urothelial thickening of the left ureter Invasive, high-grade UTUC, pT1 ![]() 6. Infiltrating soft tissue surrounding the lower pole right infundibulum with upper pole caliectasis High-grade UTUC on cytopathology ![]() |
7. Invasive high-grade bladder UC with left upper pole renal collecting system mass consistent with synchronous UTUC Noninvasive, low-grade ![]() |
UTUC involving the renal pelvis on CTU 8. Enhancing tumor at the left renal pelvis extending to the ureteropelvic junction + Irregular urothelial thickening Noninvasive, high-grade papillary UTUC ![]() |
9. Solid mass in the right renal pelvis ![]() |
10. Polypoid lesion within the left renal pelvis Noninvasive, low-grade papillary UTUC ![]() |
11. Enhancing left renal pelvis wall thickening or enhancing renal pelvis mass with central necrosis Metastatic, high-grade papillary UTUC ![]() |
12. Lobulated enhancing filling defect within the left renal pelvis Low-grade, papillary UTUC ![]() |
UTUC as infiltrative mass on CTU 13. Mass-like Infiltration in the right renal pelvis ![]() |
14. Large left renal hypoenhancing infiltrative mass involving renal sinus, invading pelvis, and encasing interpolar arteries + tumor thrombus in renal vein Invasive, high-grade UTUC with focal squamous differentiation, pT3 ![]() 15. Enhancing soft tissue mass in the R collecting system and ureter causing obstruction Noninvasive, low-grade papillary UTUC ![]() |
16. Infiltrating enhancing mass in the left collecting system of the upper pole, extending into the left renal pelvis + mass effect on the focally narrowed ureteropelvic junction Invasive, high-grade UTUC, pT3 ![]() |
17. Infiltrating heterogenous mass in the left upper kidney involving the central sinus fat and collecting system with an exophytic nodule + lung metastases Metastatic, high-grade UTUC ![]() 18. Large upper and mid left renal infiltrative heterogeneously enhancing mass extending to the renal pelvis and proximal left ureter, invading vein, and encases segmental artery Metastatic, high-grade UTUC ![]() |
19. Infiltrative left renal pelvic mass which expands the hilum and secondarily involves renal parenchyma High grade papillary UTUC on cytopathology ![]() |
Multifocal UTUC on CTU 20. Small hyperdense and enhancing soft tissue nodular filling defects in upper pole and mid-kidney calyces of the right kidney + Subcentimeter hyperdense filling defect in the ureter + Additional nodule along bladder wall All lesions were noninvasive, low-grade papillary UC ![]() |
21. Diffuse nodular thickening of right renal pelvis extending to upper ureter + New defects in upper and mid ureter (blood clot vs. drop metastasis) + Enhancing bladder lesion Noninvasive, low-grade papillary UTUC ![]() |
22. Ill-defined soft tissue mass in left upper pole calyces + New mass arising from left renal pelvis + metastatic lesion to left ureter High-grade UTUC on biopsy ![]() |
23. Soft tissue nodularity within right renal collecting system, ureter and at the right ureterovesical junction + Lung mets Metastatic, high-grade UTUC ![]() 24. Enhancing mass in the lower pole of the right kidney communicating with collecting system + Bilobed tumor in distal right ureter + Bladder wall lesion High-grade UTUC on biopsy ![]() |
Infiltrative Lesions that are Mimics of UTUC on CT
![]() |
2. Clear Cell RCC (ISUP nucleolar grade 3) presenting as a multilobular partially exophytic enhancing mass in the right kidney lower pole, invading the lower pole calyx with a filling defect and amputation of calyces, mimicking UTUC with a large exophytic component ![]() |
RCC vs. UTUC UTUC:
![]() |
3. RCC presenting as a hypoenhancing infiltrative lesion centered in the upper pole of the right kidney, mimicking UTUC ![]() |
4. Oncocytic neoplasm presenting as well-defined enhancing mass in the medial interpolar region of the right kidney, extending to the renal hilum with mild mass effect on the renal collecting system, mimicking UTUC ![]() |
5. Marginal zone lymphoma presenting as a lobulated enhancing mass within the left renal collecting system, extends to hilum and para-aortic region mimicking UTUC ![]() |
6. Mildly enhancing left lower pole soft tissue mass encasing the proximal ureter and causing moderate hydronephrosis + filling defects in collecting system, raising suspicion for UTUC vs. papillary RCC vs. proteinaceous debris: biopsy returned fibrous tissue with lymphoplasmacytic infiltrate, subsequently Erdheim-Chester diagnosed ![]() |
7. High density enhancing mass expanding and filling the right renal pelvis, extending into the right lower pole and midpole calyces, and invading into the lower pole cortex with foci of calcifications concerning for UTUC vs. blood clot with neovascularization: biopsy and uteroscopy returned benign findings of acute and chronic inflammation with no evidence for neoplasm ![]() |
Pearls & Pitfalls
|
References
|


































