
Login to CTisus.com to explore our new dashboard. You will be able to see your previously viewed lectures, case studies, and quiz scores as well as customize your profile.
Don't show me this message again
CTisus.com, the Johns Hopkins Medicine Computed Tomography (CT) website is a free informational and educational radiological resource dedicated to CT scanning. The website provides the latest information regarding radiology technology and 3D imaging. Founded by Elliot K. Fishman, M.D., professor in the Johns Hopkins School of Medicine Department of Radiology and Radiological Science, the site features a library of content, including Johns Hopkins CT scan protocols, lectures and case studies, as well as medical illustrations.
Login to CTisus.com to explore our new dashboard. You will be able to see your previously viewed lectures, case studies, and quiz scores as well as customize your profile.
Deep learning is used in the research community and in industry to help solve many big data problems such as computer vision, speech recognition, and natural language processing.
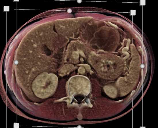
CT appearances and findings are the primary objective for radiologists to determine the accurate diagnosis during reading scans while considering patients' clinical presentation.
This section provides CT appearance for major organ systems and their common malignancies for the radiologists' convenient access that are supplemented with related pearls and lectures from CTisus to enhance radiologists' knowledge for each pathology.
On the first of each month, we add a new quiz, pearls on various topics, and summaries of journal articles from leading medical journals to CTisus. These monthly updates all focus on providing the latest information in radiology research, diagnostic imaging, CT scanning, and practice management.
Deep Learning - Clinical Applications (General)
Deep Learning - AI and Healthcare (Overview)
Deep Learning - Deep Learning and Cardiothoracic Apps
Deep Learning - Deep Learning and the Pancreas
View moreEarly Detection of Pancreatic Cancer on CT: Advancements with Deep Learning
Intelligence at scale: Data monetization in the age of gen AI
One year of agentic AI: Six lessons from the people doing the work
View moreAccess over 322,000 CT Scans and the diagnosis that is identified for each case. The case studies range from CT Scans, MRI, and X-Rays, and are organized by anatomical region: Cardiac, Pancreas, Pediatric, Vascular, Gastrointestinal and more.
Today with numerous CT scan manufacturers around the world and with numerous makes and models of scanners constantly changing it is essentially impossible to provide a set of protocols for what would likely be 100 different scanners.
Our new upgraded protocol section provides the pearls and pitfalls for a range of scan protocols.
This section is a problem based approach (e.g. what's the protocol for an incidental adrenal lesion) and helps you optimize your protocols on a daily basis.
Explore CT Protocols Now!
Our popular series from social media is now available here on CTisus.com. Each case presents 2 CT images. You can take your time evaluating them and making the call on the diagnosis. When you are ready, you can watch a discussion explaining the case and diagnosis in detail by Dr. Fishman.
We provide hundreds of wonderful cases categorized in several quizzes with 5 cases in each. You don't need to have an account or login to use this self-assessment format.
Explore You Make the Call Now!